
2025年了,我不允許還有人不知道抗體選哪家!
2025-03-11 15:44:20
來源/作者:普拉特澤-生物醫學整體課題外包平臺
優秀抗體的核心競爭力:精準抗原識別,滿級信號釋放,指哪打哪,絕不誤傷。
還在為實驗數據不理想而煩惱?還在為選擇抗體而糾結?2025年了,是時候打破信息差,擁抱高品質抗體,讓你的科研之路事半功倍!

抗體:質量勝過一切,品質決定高度!
抗體作為免疫系統的重要組成部分,其核心功能在于特異性識別和結合抗原。
在科學研究中,抗體被廣泛應用于蛋白質檢測、定位、定量以及功能研究等方面,是免疫組化、流式細胞術、Western Blot等技術的核心試劑。
然而,抗體質量參差不齊,劣質抗體可能導致:
▲假陽性和假陰性結果: 非特異性結合或靈敏度不足,導致錯誤結論,誤導研究方向。
▲實驗重復性差: 批次間差異大,難以獲得穩定可靠的實驗結果,浪費時間和資源。
▲科研進展受阻: 數據可靠性存疑,影響論文發表和科研項目進展。
普拉特澤生物:以卓越品質,助力科研突破
普拉特澤生物深耕抗體領域多年,始終秉承“質量至上,客戶為本”的理念,致力于為全球科研工作者提供高品質的抗體產品和專業的技術服務。
(而且敢承諾:不好用包退!!)
選擇普拉特澤生物,您將獲得:
【1】經過嚴格驗證的高品質抗體:
我們采用先進的抗體生產和純化工藝,并對每一批抗體進行嚴格的質量控制,確保其特異性、靈敏度、穩定性等指標達到國際領先水平。
【2】覆蓋廣泛研究領域的抗體產品線: 我們提供涵蓋腫瘤、神經科學、免疫學、干細胞等多個研究領域的數千種抗體,滿足您多樣化的實驗需求。
【3】專業的技術支持和定制化服務: 我們擁有經驗豐富的技術團隊,為您提供專業的實驗方案設計、技術咨詢和抗體定制服務,助您解決實驗難題,加速科研進程。
客戶反饋:一直跑不出的條帶終于跑出來了!
我嘞個神仙條帶,太牛啦
選對抗體,實驗成功第一步,論文發表一大步...
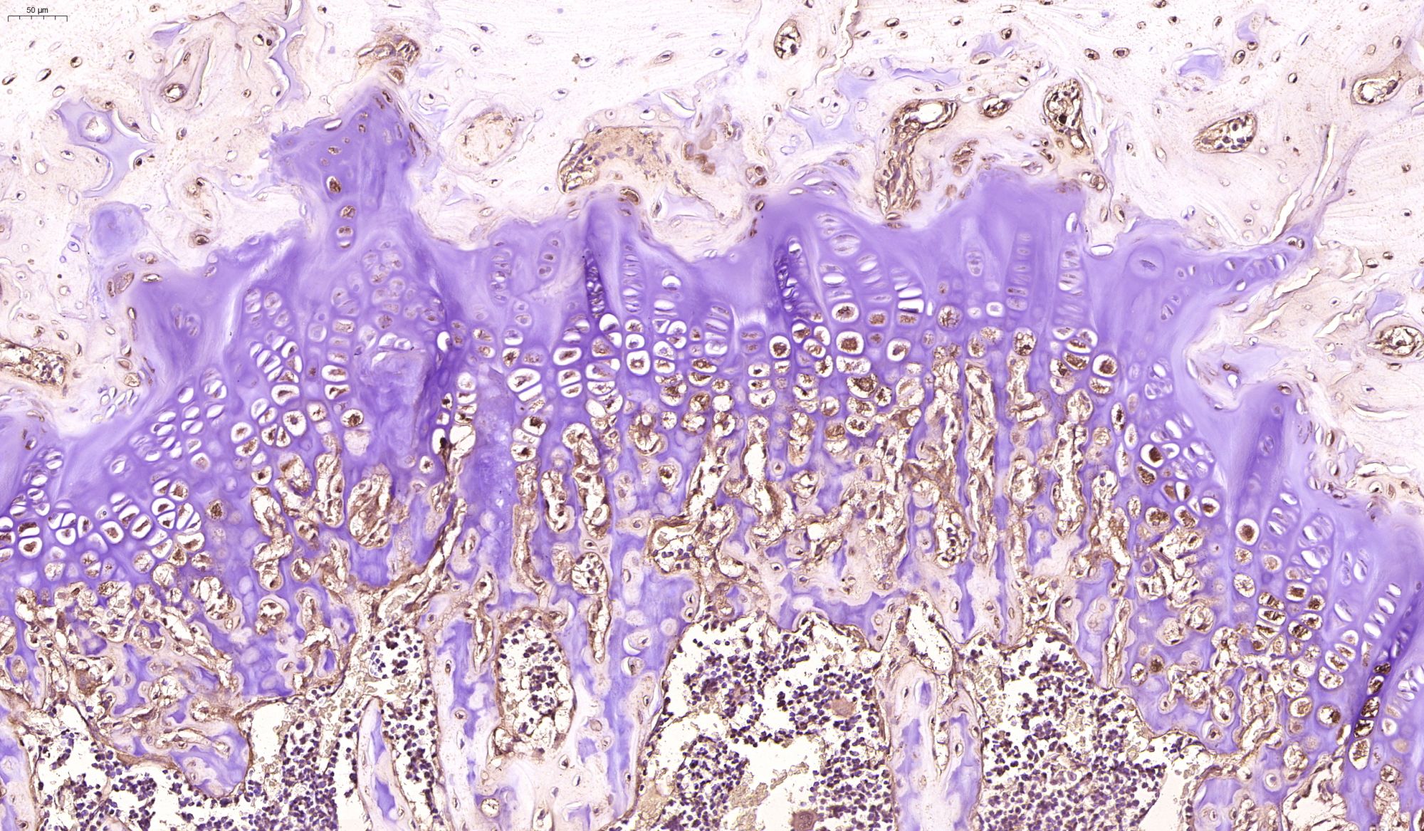
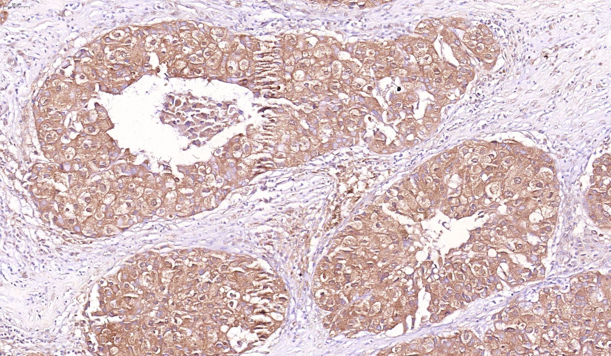
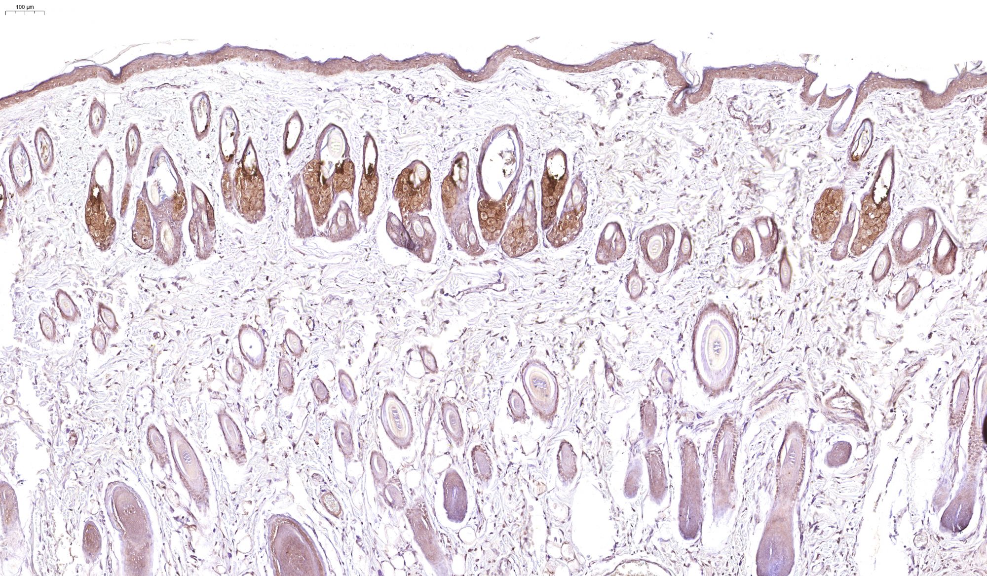
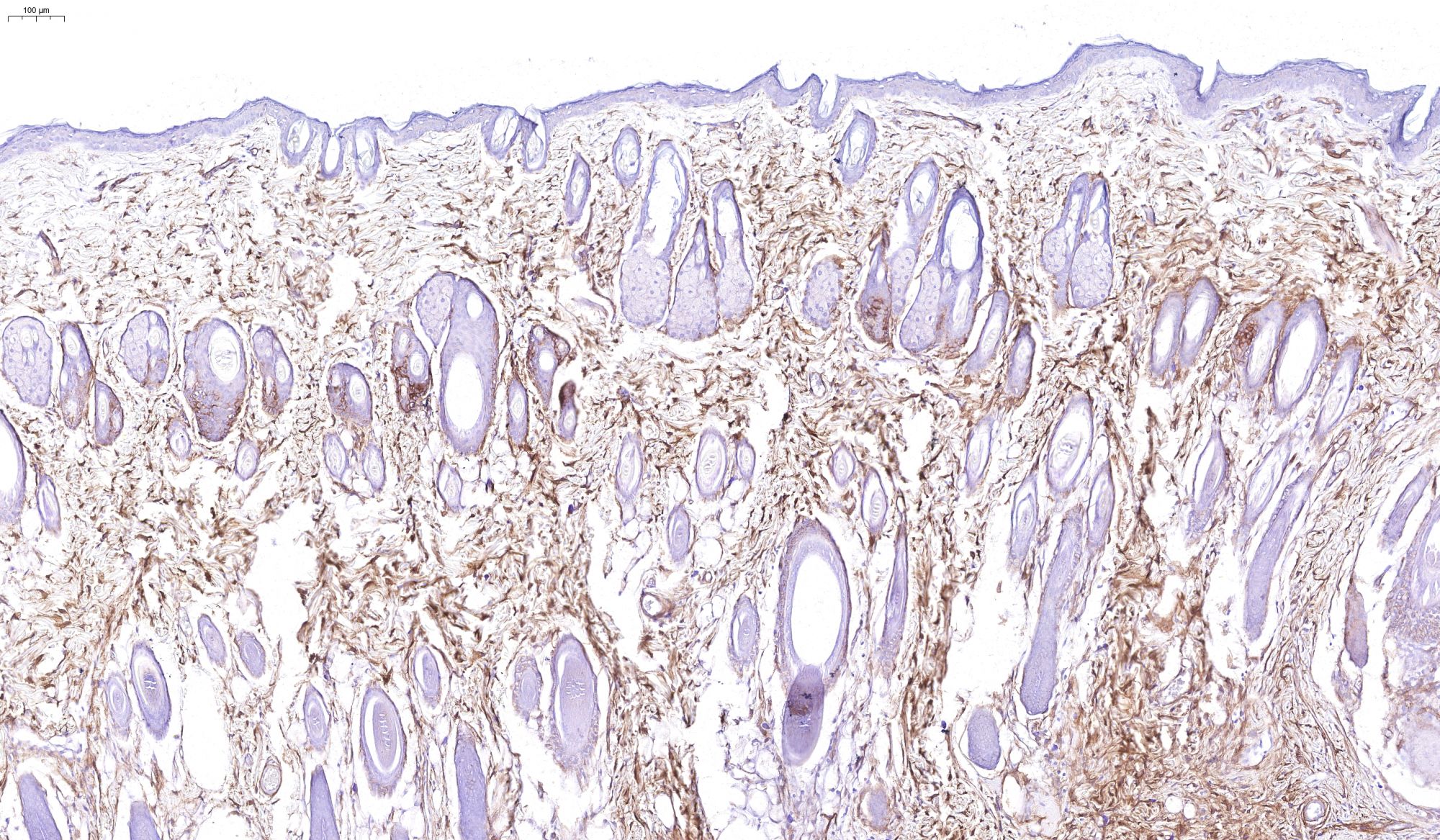
優秀案例(免疫組化)




普拉特澤生物:您值得信賴的科研伙伴
因為值得,所以信賴,選它準沒錯~
想立即享受的科研伙伴們
可以直接掃下方二維碼或者添加客服微信:18570028002