TUNEL染色實驗在凋亡檢測中的優勢與局限性
來源/作者:普拉特澤-生物醫學整體課題外包平臺
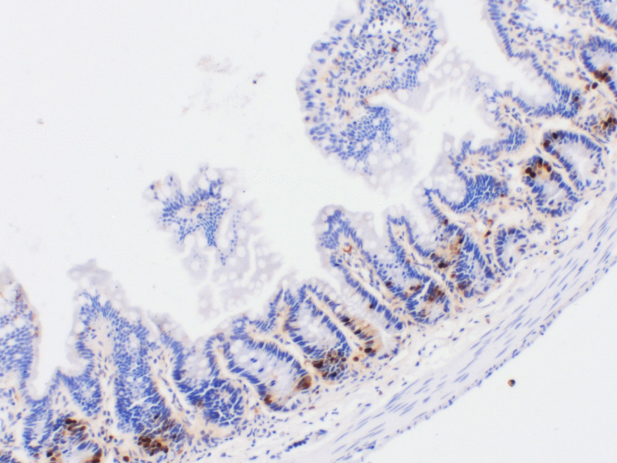
細胞凋亡,又稱程序性細胞死亡,是一種受到嚴格調控的細胞死亡過程。它與細胞壞死不同,凋亡過程涉及一系列基因的表達和酶的激活,最終使細胞有序地結束生命。而TUNEL(Terminal Deoxynucleotidyl Transferase dUTP Nick End Labeling)染色,正是一種基于檢測DNA斷裂的細胞凋亡檢測方法。它利用脫氧核糖核苷酸末端轉移酶(TdT)將標記有熒光染料的dUTP連接到DNA斷裂的3'-OH末端,從而在顯微鏡下觀察到凋亡細胞的特征性熒光信號。普拉特澤生物為廣大科研人員提供長期穩定的TUNEL染色實驗服務。
細胞焦亡研究
一、優勢分析
①高靈敏度與特異性:TUNEL染色實驗通過檢測DNA斷裂產生的3'-OH末端,能夠靈敏地捕捉到凋亡過程中DNA片段化的變化。這種方法對于凋亡早期細胞的檢測尤為有效,為研究者提供了早期發現凋亡細胞的手段。
可視化與定量分析:TUNEL染色實驗結合了熒光或免疫組化的方法,使凋亡細胞能夠在顯微鏡下被直接觀察,從而實現凋亡細胞的定位與計數。這為凋亡過程的定量分析提供了可能,有助于研究者更準確地了解凋亡的發生和發展。
適用于多種樣本類型:無論是固定細胞、組織切片還是細胞涂片,TUNEL染色實驗均可適用。這使得該方法在多種生物學研究中具有廣泛的應用前景,如癌癥研究、神經生物學、免疫學等,普拉特澤生物病理檢測平臺也不例外。
心臟tunel
二、局限性探討
【1】非特異性染色:雖然TUNEL染色實驗具有很高的特異性,但在某些情況下,如細胞受到損傷或壞死時,也可能出現非特異性染色。這可能導致實驗結果的誤判,需要研究者通過其他方法進行驗證。
【2】操作技術依賴:TUNEL染色實驗的結果受到操作技術的影響。例如,樣本的固定、酶的處理時間、洗滌條件等都可能影響染色效果。因此,要求實驗者具備較高的操作技能和經驗。
【3】無法區分凋亡與壞死:雖然TUNEL染色實驗主要用于檢測凋亡細胞,但在某些情況下,壞死細胞也可能出現類似的染色結果。因此,僅憑TUNEL染色實驗無法完全區分凋亡與壞死,需要結合其他生物學指標進行綜合判斷。
三、結論
TUNEL染色實驗作為一種經典的凋亡檢測方法,具有靈敏度高、特異性強、可視化與定量分析方便等諸多優勢,在生物學研究中發揮著重要作用。然而,其非特異性染色、操作技術依賴以及無法完全區分凋亡與壞死等局限性也不容忽視。因此,在使用TUNEL染色實驗進行凋亡檢測時,科研人員需要充分考慮其優缺點,并結合其他實驗手段進行綜合分析和判斷。只有這樣,我們才能更準確地了解細胞凋亡的過程和機制,提高實驗數據的準確性。
好啦,TUNEL染色實驗在凋亡檢測中的優勢與局限性我們就簡單介紹到這里啦,同學們有沒有一個簡單的了解呢?不懂得可以給客服留言技術給您詳細解答。下一篇再詳細為大家介紹TUNEL染色實驗與細胞死亡機制,普拉特澤生物誓讓大家透徹TUNEL染色實驗的檢測過程。當然若果您有TUNEL染色實驗方法或其他醫學科研實驗外包的需求,歡迎隨時咨詢哦