深入了解MASSON染色:原理、步驟與實例
來源/作者:普拉特澤-生物醫學整體課題外包平臺
MASSON染色是一種在組織學和病理學研究中廣泛應用的染色技術,主要用于顯示和區分組織中的膠原纖維和肌纖維。這種染色方法以其獨特的原理和步驟,為我們提供了觀察和解析組織微觀結構的有力工具。 MASSON染色實驗由普拉特澤生物病理檢測平臺總結分享,病理檢測平臺為廣大科研實驗人員提供MASSON染色實驗等其他染色實驗服務,先一起來深入了解MASSON染色:原理、步驟~
一、MASSON染色的原理
MASSON染色的原理主要基于陰離子染料分子的大小和組織滲透性的關系。染料分子的大小決定了其能夠滲透進入的組織類型。小分子量的染料能夠穿透結構致密、滲透性低的組織,而大分子量的染料則只能進入結構疏松、滲透性高的組織。在MASSON染色中,由于肌纖維間隙較小,麗春紅等小分子染料能夠滲透其中并染色,使其呈現紅色;而膠原纖維間隙較大,大分子量的苯胺藍等染料能夠進入并染色,使其呈現藍色或綠色。這種染色方式使得我們能夠清晰地觀察到并區分這兩種不同的組織成分。
二、MASSON染色的步驟包括:
Step1:石蠟切片脫蠟至水,使組織切片能夠充分與染色劑接觸。
Step2:進行鉻化處理或去汞鹽沉淀,這一步對于甲醛固定的組織可以省略。
Step3:使用自來水和蒸餾水依次清洗切片,去除多余的處理液。
Step4:使用Regaud蘇木精染液或Weigert蘇木精液染核,使細胞核著色。
Step5:充分水洗切片,如過染可用鹽酸酒精分化,以調整染色深淺。
Step6:使用Masson麗春紅酸性復紅液染色,使肌纖維呈現紅色。
Step7:使用2%冰醋酸水溶液浸洗切片,以優化染色效果。
Step8:使用1%磷鉬酸水溶液分化,使膠原纖維和其他組織成分區分更明顯。
Step9:使用苯胺藍或光綠液染色,使膠原纖維呈現藍色或綠色。
Step10:再次使用0.2%冰醋酸水溶液浸洗切片,使色調更加清晰鮮艷。
Step11:最后,通過酒精脫水、二甲苯透明和中性樹膠封固等步驟,完成整個染色過程。
三、以下是一個Masson染色的示例過程:
→預處理:獲取包含組織的石蠟切片,確保切片已經去蠟并準備好染色。
→染色處理:
①將去蠟的切片放入預熱的酸性fuchsin溶液中,將其染成紅色。根據實驗需求,可以調整染色時間和溫度。
②使用鹽酸或酸性乙醇溶液對切片進行漂洗,以去除多余的染料。
③將切片放入蘇木精溶液中,使細胞核和肌肉呈黃色或淡綠色。
④脫水和固定:將切片放入逐漸增濃度的酒精溶液(例如70%、95%、100%)中,逐漸脫水。然后,將切片放入透明劑中(如井田氏溶劑),使其透明并固定。
⑤封片和觀察:將切片放在載玻片上,加入透明封片劑,并蓋上玻片。使用顯微鏡觀察和分析染色后的組織切片,注意觀察膠原纖維的紅色染色和細胞核及肌肉的顏色。
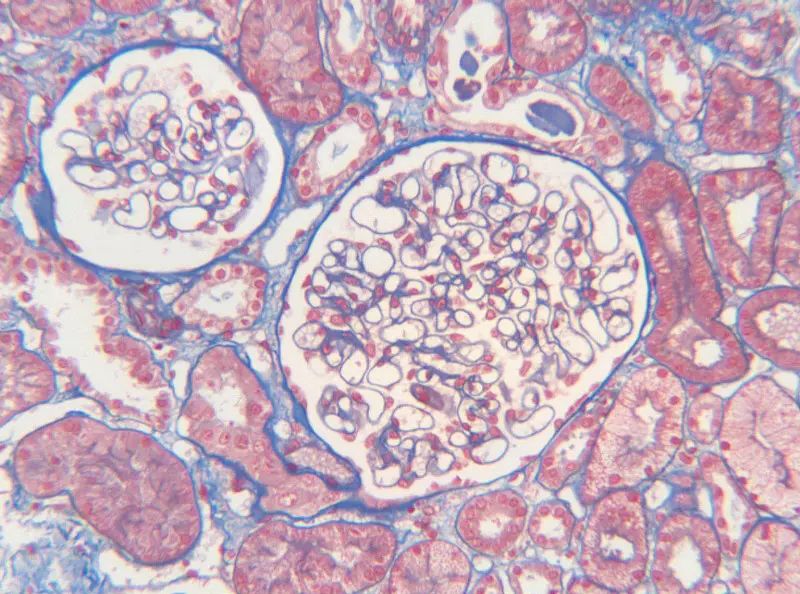
人腎組織
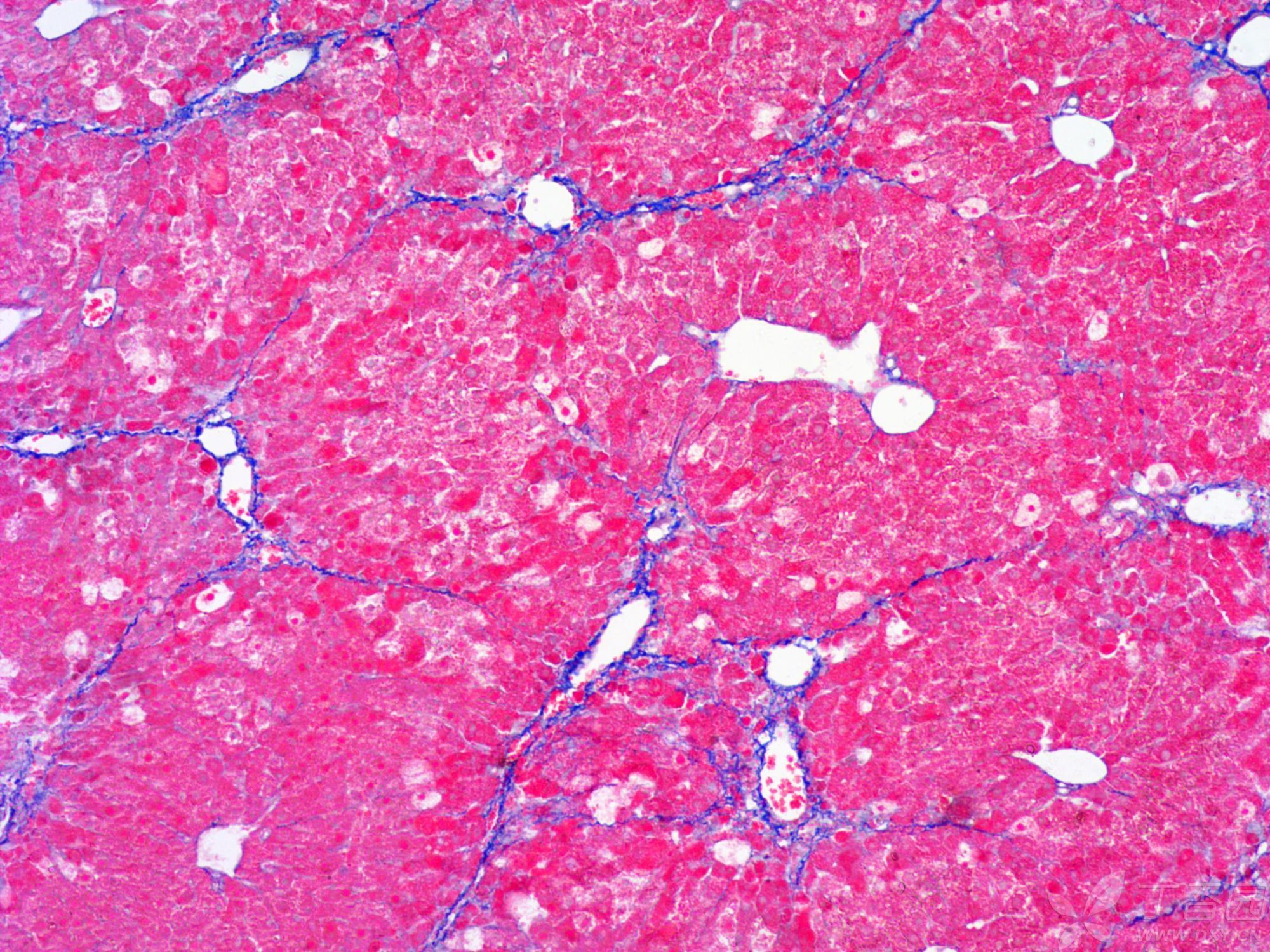
小鼠纖維化
總之,MASSON染色是一種重要的組織學染色方法,通過其獨特的染色原理和步驟,可以實現對組織纖維結構的清晰展示和深入分析。在實際應用中,MASSON染色為醫學研究和臨床診斷提供了有力的支持。
關于MASSON染色:原理、步驟與實例我們就簡單介紹到這里啦,同學們有沒有一個簡單的了解呢?不懂得可以給客服留言技術給您詳細解答。下一篇再詳細為大家介紹如何進行MASSON染色?專業教程與技巧分享,普拉特澤生物誓讓大家透徹MASSON染色實驗的檢測過程。當然若果您有MASSON染色實驗方法或其他醫學科研實驗外包的需求,歡迎隨時咨詢哦