
如何進行MASSON染色?專業教程與技巧分享
2024-05-11 15:52:01
來源/作者:普拉特澤-生物醫學整體課題外包平臺
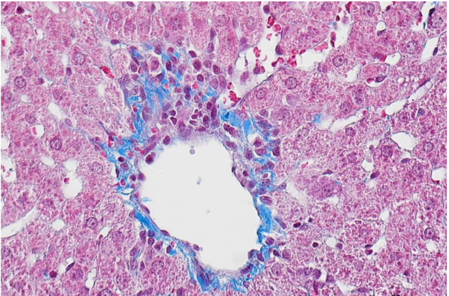
我們上期講過:MASSON染色,作為一種經典的結締組織染色方法,這種方法尤其適用于顯示并區分膠原、軟骨、黏液、肌纖維等組織成分。普拉特澤生物承接Masson(馬松)染色等病理染色相關服務上萬例,積累了操作大量經驗,為大家詳細分享馬松染色的實驗操作步驟與染色結果分析,同時為廣大科研工作者開展線上的理論培訓與線下實操,可承接染色實驗外包服務~下面將詳細介紹MASSON染色的專業步驟及相關技巧。
一、染色步驟
⒈石蠟切片脫蠟至水:將組織切片置于適當的脫蠟液中,按照標準流程進行脫蠟,直至切片完全水化。
⒉鉻化處理或去汞鹽沉淀:根據組織固定方式的不同,可能需要進行鉻化處理或去汞鹽沉淀,以確保染色效果的穩定性。
⒊染色液的配制與染色:
·使用蘇木精染液進行染色,染色時間控制在5-10分鐘。
·充分水洗切片,去除多余的染色液。
·使用Masson麗春紅酸性復紅液進行染色,時間同樣為5-10分鐘。
⒋分化與反染:
·使用2%冰醋酸水溶液對切片進行浸洗,增強染色對比度。
·使用1%磷鉬酸水溶液進行分化,使膠原纖維呈淡粉紅色,肌纖維和纖維素呈紅色。
·無需水洗,直接使用苯胺藍或光綠液進行反染,使膠原纖維、粘液、軟骨等組織成分呈藍色或綠色。
⒌脫水、透明與封固:
·使用不同濃度的乙醇對切片進行脫水處理。
·使用二甲苯或其他透明劑對切片進行透明化處理。
·使用中性樹膠進行封固,確保切片長期保存不褪色。

二、技巧與注意事項
①控制好染色步驟:每一步的染色時間和試劑濃度都會影響最終的染色效果,因此需嚴格按照實驗步驟進行操作。
②組織固定的重要性:組織固定的方式和時間會影響染色效果,應根據實驗需求選擇合適的固定液和固定時間。
③注意試劑的保存與使用:確保試劑的質量和濃度穩定,避免使用過期或變質的試劑。
④觀察與記錄:在染色過程中,應隨時觀察切片的染色情況,并記錄每一步的操作細節和染色效果。

通過以上步驟和技巧的分享,相信您已經對MASSON染色有了更深入的了解。在實際操作中,請結合具體實驗條件和需求進行調整和優化,以獲得最佳的染色效果,如需要技術協助可隨時聯系我們:18570028002(微信同號)提供原始數據,死磕真實實驗!
