
MASSON(馬松)染色結果怎么看纖維化?
2024-05-14 15:30:42
來源/作者:普拉特澤-生物醫學整體課題外包平臺
前面我們學習了MASSON染色結果是怎么分析的,本篇給大家分享的是MASSON染色結果怎么看纖維化?普拉特澤生物誓讓大家透徹MASSON染色實驗的檢測過程,同時還有超多關于MASSON染色的經典案例,當然如果您有MASSON染色實驗方法或其他醫學科研實驗外包的需求,歡迎隨時咨詢哦
首先在醫學領域,纖維化是一種嚴重的病理過程,涉及多個器官組織內的纖維結締組織異常增生,可能導致器官功能減退甚至衰竭。因此,對纖維化的早期診斷和準確評估至關重要。而MASSON染色作為一種經典的結締組織染色方法,為我們提供了直觀、有效的纖維化檢測手段。
MASSON染色利用不同染料分子與組織結構的相互作用,實現對膠原纖維和肌纖維的精準區分。在染色過程中,肌纖維呈現為紅色,而膠原纖維則呈現為綠色或藍色。這種色彩對比使得纖維組織在顯微鏡下變得清晰可見,醫生能夠清晰地觀察到纖維化的程度和范圍。

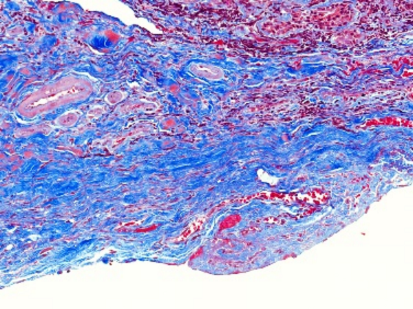
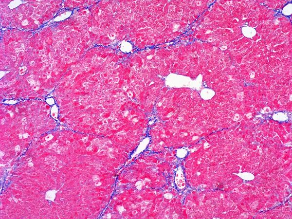
圖1. Masson組織染色結果示例(最右列),可看到不同處理條件下膠原纖維(藍色)和肌纖維(紅色)的分布不同
一、MASSON染色結果解讀
①正常組織染色結果
在正常組織中,MASSON染色通常呈現出均勻的藍色背景,其中肌肉纖維和血管等結構清晰可見。這種染色結果表明組織結構正常,無明顯的纖維化病變。

②纖維化組織染色結果
在纖維化組織中,MASSON染色會呈現出明顯的紅色或紫色區域。這些區域代表了膠原纖維的增生和沉積,是纖維化病變的典型表現。通過觀察這些區域的分布和范圍,可以初步判斷纖維化的程度和范圍。

③纖維化程度評估
根據MASSON染色結果,我們可以對纖維化程度進行初步評估。一般來說,紅色或紫色區域越多、越密集,說明纖維化程度越嚴重。同時,還可以結合其他病理特征,如纖維束的粗細、排列方向等,進行更全面的評估
二、注意事項
在進行MASSON染色結果解讀時,需要注意以下幾點:
㈠確保染色操作規范,避免染色不均或過度染色導致的誤判。
㈡結合其他病理檢查結果進行綜合分析,以提高診斷的準確性。
㈢對于疑似纖維化病變的區域,可以進行進一步的檢查和確認。

三、結語
MASSON染色作為一種重要的病理學檢查方法,對于纖維化程度的判斷具有重要意義。通過本文的介紹,相信您已經對MASSON染色結果的解讀有了更深入的了解。在實際應用中,建議結合其他病理檢查結果進行綜合分析,以提高診斷的準確性和可靠性。
冰凍三尺,非一日之寒,普拉特澤致力于幫助廣大科研工作者解決病理組織染色實驗中的各方面問題,不但授人以魚,亦授人以漁。
