
冰凍切片和石蠟切片的區別是什么?
2024-06-17 15:04:29
來源/作者:普拉特澤-生物醫學整體課題外包平臺
Question:冰凍切片和石蠟切片的區別是什么?(普拉特澤生物提供長期穩定的冰凍切片實驗外包服務)
答:在眾多切片技術中,冰凍切片和石蠟切片無疑是兩種最為常見且重要的方法。它們各自具有獨特的優勢和特點,同時也存在著明顯的差異。本文將深入探討這兩種切片技術的區別。
首先,從組織固定方式來看,石蠟切片和冰凍切片有著本質的不同。石蠟切片主要依賴戊二醛或甲醛等固定劑,通過一系列復雜的化學過程來固定組織樣本的形態和結構。而冰凍切片則采用液氮等低溫物質,通過快速冷凍的方式來固定組織,避免了化學固定劑可能帶來的組織損傷。、

組織固定
在保存條件方面,石蠟切片和冰凍切片也有著顯著的差異。石蠟切片通常可以在室溫下長期保存,而冰凍切片則需要在-80℃的低溫環境中保存,以確保組織的完整性和穩定性。這種保存條件的差異也具有反映了顯著兩種的優勢切片。技術由于對于采用環境快速適應冷凍性的的方法不同。組織染色檢測平臺為廣大科研實驗人員提供冰凍切片實驗服務

小鼠大腦冰凍切片
在制片速度上,冰凍切片無疑短時間內完成組織固定和切片制作,為急需獲取組織樣本信息的科研工作者提供了極大的便利。相比之下,石蠟切片需要經過脫水、浸蠟等多個步驟,制作周期較長。
然而,盡管冰凍切片在制片速度上具有優勢,但在組織結構保持方面,石蠟切片卻更勝一籌。由于石蠟切片經過多種固定劑處理,能夠更好地保持組織的原有結構和形態,有利于科研人員對組織進行更精細的觀察和分析。而冰凍切片雖然能夠快速固定組織,但在一定程度上可能會破壞細胞的細微結構。

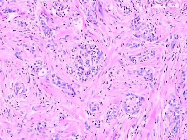
石蠟切片
冰凍切片
此外,在染色性能方面,兩種切片技術也各有千秋。石蠟切片適用于多種染色技術,如H&E染色等,能夠清晰地展示組織的細胞結構和形態。而冰凍切片則更多地應用于免疫組化和原位雜交等特殊染色技術,為科研人員提供了更多維度的觀察手段。
綜上所述,冰凍切片和石蠟切片各有其獨特之處。它們在不同的應用場景中發揮著不可替代的作用,為生物醫學領域的研究提供了強有力的支持。在實際應用中,科研工作者可以根據具體需求選擇合適的切片技術,以更好地揭示組織的奧秘,推動科學研究的進步。
如果想知道更多的關于冰凍切片的的相關資料和知識點,以及專屬研究方法,也可以聯系我們:18570028002或微信pulateze666會把這些資料發送給大家哦。
