
點擊化學EdU法:免抗體標記,1小時完成細胞增殖檢測
2025-06-23 18:12:04
來源/作者:普拉特澤-生物醫學整體課題外包平臺
點擊化學EdU檢測法由普拉特澤生物細胞實驗平臺為大家總結分享。普拉特澤生物為廣大科研人員提供長期穩定的EdU檢測外包實驗服務,本文給大家分享咱們技術長期總結下來的免抗體標記,1小時解鎖細胞增殖精準圖譜。
無需抗體、無需DNA變性、無需過夜孵育——一次點擊化學反應,讓增殖細胞無處遁形。
在細胞增殖研究的歷程中,科學家們長期面臨一個技術困境:如何在精準標記DNA復制活躍細胞的同時,最大程度保留細胞原始狀態?傳統BrdU檢測法雖廣泛應用,但其依賴的抗體識別機制和DNA變性步驟如同一把雙刃劍——在暴露抗原表位的同時,也破壞了細胞的精細結構和生物分子網絡。而EdU(5-Ethynyl-2’-deoxyuridine)檢測法的誕生,憑借點擊化學(Click Chemistry) 這一諾獎技術,徹底重塑了細胞增殖檢測的范式。
1 技術原理解析:
——點擊化學如何實現免抗體檢測
EdU是一種胸腺嘧啶核苷類似物,其分子結構的精妙之處在于:C5位的甲基被乙炔基取代。這一微小卻關鍵的改造,賦予了它革命性的檢測優勢。
DNA摻入機制。
當細胞進入DNA合成期(S期),EdU通過核苷轉運蛋白進入細胞核,替代天然胸苷摻入新合成的DNA鏈中,其摻入效率與胸苷相當,不影響細胞周期進程。
點擊化學反應核心
檢測過程無需抗體介入,而是通過銅離子(Cu?)催化的炔-疊氮環加成反應實現:EdU的乙炔基與熒光標記的疊氮化物(如Alexa Fluor 488疊氮)在30分鐘內形成穩定的三唑環,直接共價連接熒光信號。
化學方程式:
EdU-乙炔基 + 疊氮-熒光染料 → 熒光標記DNA

2.分子尺寸的革命性突破
熒光疊氮化物的分子量僅為BrdU抗體的1/500(~500 Da vs 150 kDa),這一特性徹底解決了大分子抗體難以滲透組織深層的問題,為類器官、組織切片等復雜樣本的均一標記掃清了障礙。
核心優勢:為何EdU成為高效檢測的新標桿
速度躍升:從小時級到分鐘級
傳統BrdU法需經歷DNA變性(酸/熱解)、一抗/二抗孵育(≥90分鐘)、多次洗滌等冗長步驟,總耗時 5 小時至過夜(約 17 小時)。而EdU檢測僅需三步核心操作:
EdU孵育(2-24小時,與細胞周期同步)
固定透化(15分鐘)
點擊反應(30分鐘)
總耗時壓縮至1-2.5小時,效率提升70%以上

樣本完整性:告別DNA變性損傷
BrdU法必需的DNA變性步驟(如4M HCl處理或高溫)導致三大硬傷:
□細胞核皺縮:酸解破壞染色質結構,共聚焦成像模糊
□抗原表位損毀:難以與Ki-67、磷酸化組蛋白等胞內蛋白標記聯用
□組織解離風險:尤其對冰凍切片或腦組織樣本,變性后易碎片化
□EdU法僅需溫和的固定透化處理(4%多聚甲醛 + 0.5% Triton X-100):
細胞三維形態
膜蛋白抗原表位(如CD分子)
DNA高級結構(如核小體排列)
靈敏度躍升:單細胞水平的精準捕捉
得益于小分子染料的高效擴散與直接化學結合,EdU信號強度達BrdU的3-5倍,尤其擅長檢測:
→低增殖活性細胞:如干細胞靜息群體、神經元前體細胞
→微量增殖信號:藥物處理后的殘余癌細胞、免疫治療后的T細胞克隆擴增
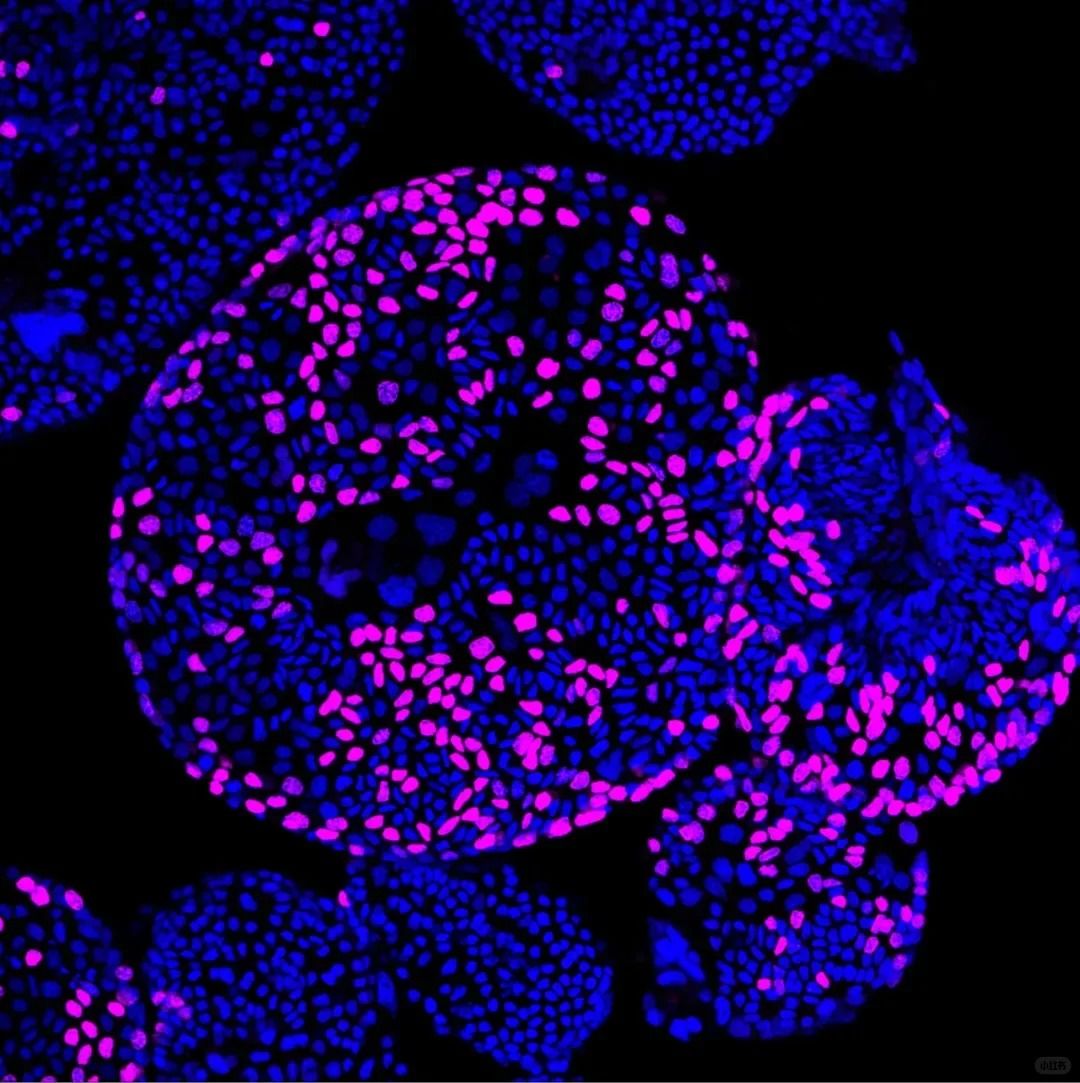
在乳腺癌類器官模型中,EdU+Ki-67雙標揭示的癌細胞抑制率較BrdU提升40%,為藥物療效評估提供了更可靠依據。
標準化操作指南:1小時極速檢測方案(以貼壁細胞為例)
試劑準備
→EdU工作液:10 μM(快速增殖細胞)至50 μM(慢周期細胞),溶于完全培養基
→點擊反應混合液:含熒光疊氮化物(如Alexa Fluor 488)、CuSO?、抗壞血酸鈉(還原劑)
四步操作流程
EdU脈沖標記
將預熱EdU工作液加入細胞培養基(終濃度10 μM)
孵育2小時(高增殖細胞)至24小時(全周期覆蓋)
固定與透化
4%多聚甲醛固定15分鐘(室溫)
關鍵提示:避免醇類固定劑,防止DNA結構改變
0.5% Triton X-100透化20分鐘(超過0.5%或延長至30分鐘將導致信號彌散)
點擊化學反應
加入含熒光疊氮化物的反應液,避光孵育30分鐘
銅毒規避:添加Click添加劑(如BeyoClick?試劑盒中的螯合劑)保護敏感細胞
復染與成像
DAPI染核(5分鐘)
熒光顯微鏡或流式細胞儀檢測
適用樣本擴展:
石蠟切片需延長透化至40分鐘;活體注射劑量為5 mg/kg(小鼠模型)
多場景應用突破:從基礎科研到臨床前研究
復雜模型中的精準解析
3D類器官與組織切片:小分子染料滲透至類器官深層,在冰凍/石蠟切片中實現均一標記
活體動態追蹤:腹腔注射EdU標記小鼠,結合透明化技術(如CLARITY)構建全器官增殖圖譜
多組學關聯研究
免疫表型關聯:流式中EdU與CD4/CD8/PD-1抗體兼容,同步解析T細胞增殖與活化狀態
細胞周期同步分析:配合DAPI核染色,計算S期細胞比例及G1/S/G2-M期分布
熒光蛋白共定位:適用于轉基因熒光蛋白細胞系,活體追蹤增殖干細胞遷移
轉化醫學應用實例

常見問題破解:實驗優化關鍵點
Q1:點擊反應出現高背景噪音?
銅離子濃度與抗氧化控制:優化Cu2?至0.1-1 mM,添加抗壞血酸鈉(100 mM)淬滅自由基。使用Click-iT Plus試劑盒可兼容R-PE等易淬滅染料。
Q2:組織切片透化不足導致信號弱?
梯度透化法:先以0.1% Triton X-100處理10分鐘,檢測信號強度;若不足則升至0.3%,避免超過0.5%導致組織解離。
Q3:能否與BrdU聯用進行雙時間點追蹤?
MoBU-1抗體的特異性應用:
先脈沖EdU(20 μM × 1小時)
再脈沖BrdU(10 μM × 1小時)
點擊化學標記EdU后,用克隆MoBU-1抗體(無EdU交叉反應)檢測BrdU。
Q4:EdU長期孵育是否影響細胞周期?
濃度窗控制:常規濃度(≤10 μM)孵育24小時內無顯著影響。但>50 μM或>48小時可能激活DNA損傷反應(γH2AX通路),建議設置濃度梯度驗證。
未來演進:當點擊化學遇見多組學整合
EdU技術正從“替代BrdU的工具”升級為細胞動力學研究的核心引擎,其邊界持續拓展:
○近紅外活體成像:Alexa Fluor 790疊氮化物(Ex/Em:785/814 nm)穿透深度提升至3 mm,實現腫瘤增殖原位監測
○多核苷酸聯用探針:如F-ara-EdU同步實現增殖標記與細胞周期阻斷,用于化療藥物同步化研究
○空間轉錄組整合:組織切片EdU信號與測序數據疊加,關聯“增殖熱點”與基因表達域(如腫瘤異質性區域)
○AI驅動圖像分析:基于EdU標記的清晰核輪廓訓練深度學習模型,自動識別罕見增殖事件(如轉移灶微克隆)
德國癌癥研究中心團隊通過EdU脈沖追蹤發現:常規BrdU遺漏的靜息態腫瘤干細胞,在藥物壓力下顯露出復蘇跡象——這一發現為腫瘤復發機制提供了全新解釋
要資質有資質
要經驗有經驗
要案例有案例
好,化學EdU檢測法就介紹到這里啦~
有關于EdU檢測的任何問題或實驗咨詢
找她↓↓↓
