
HE檢測實驗報告(二)
2024-02-17 15:15:55
來源/作者:普拉特澤-生物醫學整體課題外包平臺
上一期普拉特澤生物講解了HE檢測實驗報告(一),今天繼續講解HE檢測實驗,本次樣本是小鼠肺組織,下面我們一起來看看吧~
一、實驗目的
對小鼠肺組織進行HE染色。
二、實驗樣本及分組
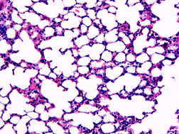
樣本:小鼠肺組織
分組:結節多、結節少
三、實驗結果


結節多、結節少
圖1 HE染色示意圖 100X
四、實驗結論
樣本中細胞核被蘇木精染成鮮明的藍色。細胞質被伊紅染成深淺不同的粉紅色至深紅色。對比鮮明。可以清晰觀察到組織形態,符合HE染色結果的要求。
五、實驗材料
1.主要耗材

2.主要試劑

五、實驗原理
蘇木精-伊紅染色法簡稱HE染色法,是最常用的染色方法。蘇木精(hematoxylin)是陽離子染料,能夠將細胞核內的嗜堿性物質染成藍紫色。伊紅(eosin)是陰離子染料,能夠將細胞質和膠原纖維等染成粉紅色。
一、實驗步驟
1.脫蠟
1) 70℃烤片5min;
2) 二甲苯(I)中脫蠟10 min;
3) 二甲苯(II)中脫蠟10 min;
4) 100%乙醇(I)中5 min洗去二甲苯;
5) 100%乙醇(II)中5 min洗去二甲苯;
2.水化
1) 95%乙醇中水化5 min;
2) 85%乙醇中水化5 min;
3) 75%乙醇中水化5 min;
4) 蒸餾水中水化待用;
3.染色
1) 蘇木素染色10 min;
2) 流水沖洗2 min;
3) 1%鹽酸酒精分化2 s;
4) 流水沖洗切片15 min;
5) 蒸餾水過洗1-2 s;
6) 伊紅染色10 min;
4.分化
1) 根據顏色深淺用80%的乙醇分化;
2) 85%乙醇脫水5 min;
3) 95%乙醇脫水5 min;
4) 無水乙醇脫水10 min;
5) 無水乙醇脫水10 min;
5.透明
1) 二甲苯(I)透明10 min;
2) 二甲苯(II)再次透明10 min;
6.封片
在石蠟切片的中央滴加一滴中性樹膠,蓋上蓋玻片封固。
7.鏡檢
顯微鏡下觀察拍照。
還有更多疑問建議或需要HE染色實驗外包的同學可點擊“普拉特澤”了解咨詢哦,提供原始數據,死磕真實實驗!
