
TUNEL檢測實驗報告(二)
2024-04-22 15:05:35
來源/作者:普拉特澤-生物醫學整體課題外包平臺
普拉特澤生物為廣大生命科學研究人員提供可根據TUNEL檢測不同的實驗報告步驟,本文就跟大家一起繼續探究采用TUNEL染色技術檢測組織樣本中的細胞凋亡水平。
一、 實驗樣本及分組
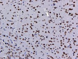
樣本:大鼠腦
二、 實驗結果

圖1 tunel染色示意圖 100X
三、實驗結論
凋亡/陽性細胞呈深棕色。
四、實驗材料
1. 主要儀器

2.主要試劑

一、 實驗原理
細胞在發生凋亡時,會激活一些DNA內切酶,這些內切酶會切斷核小體間的基因組DNA。細胞凋亡時抽提DNA進行電泳檢測,可以發現180~200bp的DNA ladder。基因組DNA斷裂時,暴露的3'-OH可以在末端脫氧核苷酸轉移酶(Terminal Deoxynucleotidyl Transferase, TdT) 的催化下加上生物素標記的dUTP,在DAB的存在下,產生很強的顏色反應(呈深棕色),從而可以通過顯微鏡檢測細胞凋亡的情況。
二、方法步驟
1.脫蠟
1) 65℃烤片2 h;
2) 二甲苯(I)中脫蠟10 min;
3) 二甲苯(II)中脫蠟10 min;
4) 100%乙醇(I)中5 min洗去二甲苯;
5) 100%乙醇(II)中5 min洗去二甲苯。
2.水化
1) 95%乙醇中水化5 min;
2) 85%乙醇中水化5 min;
3) 75%乙醇中水化5 min;
4) 蒸餾水中水化待用。
3.通透
1) 蛋白酶K修復:每個樣本上滴加100 μL蛋白酶K工作液,37℃反應30 min;
2) PBS浸洗3次各5 min。
4. 標記
1) 每樣滴加50μL的Tunel反應混合物,37℃避光孵育60 min;
2) PBS充分浸洗3次各5 min;
3) 每個樣本滴加50 μL converter-POD工作液,濕盒中37℃避光反應30 min;
4) PBS充分浸洗3次各5 min。
5. 顯色
1) 根據說明書配制DAB顯色液;
2) 每個樣本滴加50 μL DAB顯色工作液,室溫顯色30 s;
3) 蒸餾水稍洗終止顯色。
6.復染
1) 蘇木素染色30 s;
2) 流水沖洗2 min。
7.分化返藍
1) 1%鹽酸酒精分化2 s;
2) 流水沖洗切片5 min。
8.脫水
1) 蒸餾水過洗1~2 s;
2) 85%乙醇脫水5 min;
3) 95%乙醇脫水5 min;
4) 無水乙醇脫水5min;
5) 無水乙醇脫水5 min。
9.透明
1) 二甲苯(I)透明5 min;
2) 二甲苯(II)再次透明5 min。
10.封片
1) 在石蠟切片的中央滴加適量中性樹膠,蓋上蓋玻片封固;
2) 在通風櫥內室溫晾干。
11.鏡檢
1) 顯微鏡下觀察拍照。
今天關于TUNEL染色就分享到這兒啦~如果您在實驗過程中遇到技術問題,或者需要實驗外包和代做,可與我們技術老師聯系18570028002(微信同號)
