
HE檢測實驗報告(五)
2024-02-20 13:53:26
來源/作者:普拉特澤-生物醫學整體課題外包平臺
HE檢測實驗報告(五)由普拉特澤生物技術為大家總結分享。本文是關于HE染色實驗的最后一篇介紹,前面我們學習了大鼠骨組織的HE染色實驗報告、小鼠肺組織結節的HE染色實驗報告、小鼠肺HE染色實驗報告以及大鼠心肌的HE檢測實驗報告,可以點擊標題直接傳送回去學習的哦。普拉特澤生物病理染色平臺承接染色實驗外包上百例,早就為大家把實驗過程中要踩的雷、吃的虧幫大家吃完了,現在我們就來看看HE檢測實驗報告(五)
前期回顧:
一、實驗目的
對骨組織樣本進行脫鈣及HE染色。
二、實驗樣本及分組
樣本:大鼠、小鼠關節骨組織
分組:第一批、第二批、第三批
三、實驗結果


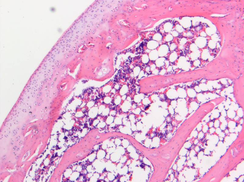
第一批


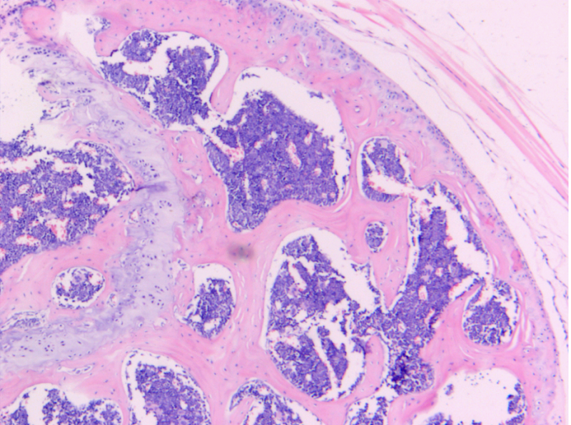
第二批


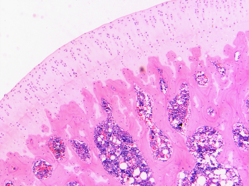
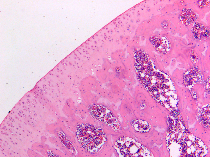
第三批
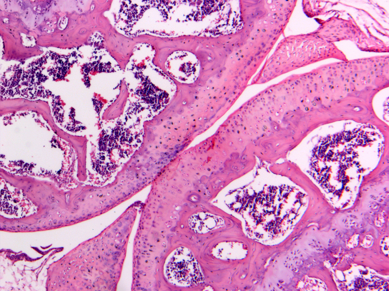
HE染示意圖 40X
四、實驗結論
樣本中細胞核被蘇木精染成鮮明的藍色。細胞質被伊紅染成深淺不同的粉紅色至深紅色。對比鮮明,可以清晰觀察到組織形態。
五、實驗材料
1. 主要儀器

2.主要試劑

六、實驗原理
蘇木精-伊紅染色法簡稱HE染色法,是最常用的染色方法。蘇木精(hematoxylin)是陽離子染料,能夠將細胞核內的嗜堿性物質染成藍紫色。伊紅(eosin)是陰離子染料,能夠將細胞質和膠原纖維等染成粉紅色。
七、方法步驟
1.脫鈣包埋
①取大小鼠骨組織中性福爾馬林固定。
②骨組織浸入EDTA脫鈣液,每周更換一次脫鈣液,脫鈣4-12周(根據組織大小決定)。
③脫鈣終點評判:針扎切割無阻力感。
④脫鈣結束后的骨組織用自來水流水沖洗12-24h。
⑤骨組織脫水浸蠟包埋切片。
2. 脫蠟
①70℃烤片30 min;
②二甲苯(I)中脫蠟10 min;
③二甲苯(II)中脫蠟10 min;
④100%乙醇(I)中5 min洗去二甲苯;
⑤100%乙醇(II)中5 min洗去二甲苯;
3.水化
①95%乙醇中水化5 min;
②85%乙醇中水化5 min;
③75%乙醇中水化5 min;
④蒸餾水中水化待用;
4.染色
①蘇木素染色3 min;
②流水沖洗2 min;
③1%鹽酸酒精分化2 s;
④流水沖洗切片15 min;
⑤蒸餾水過洗1-2 s;
⑥伊紅染色30 s;
5.分化
①根據顏色深淺用80%的乙醇分化;
②85%乙醇脫水5 min;
③95%乙醇脫水5 min;
④無水乙醇脫水10 min;
⑤無水乙醇脫水10 min;
6.透明
①二甲苯(I)透明10 min;
②二甲苯(II)再次透明10 min;
7.封片
①在石蠟切片的中央滴加一滴中性樹膠,蓋上蓋玻片封固。
8.鏡檢
①顯微鏡下觀察拍照。
如果想知道更多的關于HE染色的相關案例和知識點,以及專屬研究方法,也可以聯系我們:18570028002或微信pulateze666會把這些資料發送給大家哦。
