
MASSON染色和HE染色區別?
2024-05-14 16:37:57
來源/作者:普拉特澤-生物醫學整體課題外包平臺
劃重點鴨,區別
最近有做MASSON染色的朋友來找我們咨詢:
“在做MASSON染色實驗中,與
HE染色有啥區別?”
普拉特澤生物總結了一些小小經驗,分享給大家,希望能對各位做MASSON染色的朋友們有所幫助。
我們都知道在生物醫學領域,染色技術是一項至關重要的實驗手段,它能夠幫助我們更清晰地觀察和分析組織結構的細微變化。
其中,MASSON染色和HE染色是兩種常用的染色方法,它們各自具有獨特的特點和應用場景。那么,MASSON染色和HE染色究竟有哪些區別呢?讓我們一起來探討一下
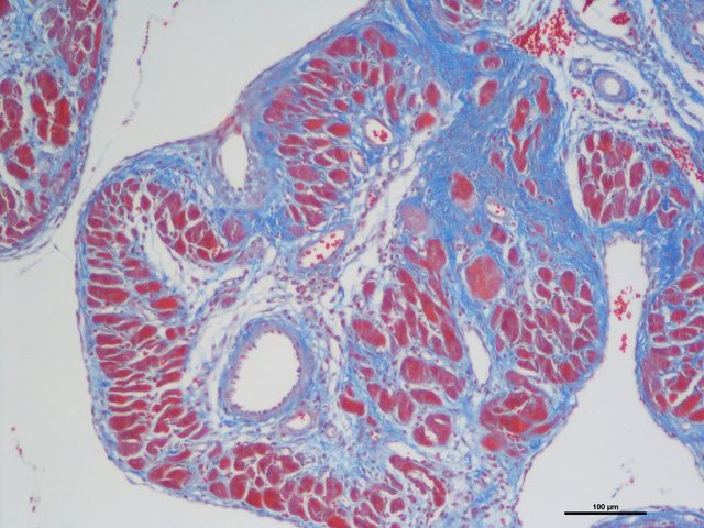
一、MASSON染色:揭示纖維組織的奧秘
MASSON染色是一種專門用于顯示組織中纖維成分的染色方法。它能夠清晰地呈現出膠原纖維、肌肉纖維以及彈性纖維等結構,使得我們可以更加準確地觀察和分析這些纖維組織的形態和分布情況。MASSON染色的原理是利用不同染料對不同纖維成分的親和力差異,使得不同纖維成分呈現出不同的顏色,從而便于觀察和識別。

[MASSON染色]

[MASSON染色]
在應用場景方面,MASSON染色廣泛應用于病理學、組織學以及解剖學等領域。例如,在肝臟疾病的診斷中,MASSON染色可以幫助醫生判斷肝臟纖維化的程度;在心血管疾病的研究中,MASSON染色則可以用于觀察心肌纖維的形態和排列情況

[實驗室]
HE染色:展現組織結構的全面性
HE染色,即蘇木精-伊紅染色,是一種廣泛應用于生物學和醫學領域的染色方法。它利用蘇木精和伊紅兩種染料對組織細胞進行染色,使得細胞核和細胞質呈現出不同的顏色,從而清晰地展現出組織結構的整體面貌。

[HE染色]
HE染色的優點在于其染色效果穩定、操作簡便且成本較低。因此,它被廣泛用于觀察和分析各種組織結構的形態學特征。無論是正常組織還是病變組織,HE染色都能為我們提供豐富的信息,幫助我們更好地理解和認識生命的奧秘。
二、MASSON染色與HE染色的區別
①染色原理與效果:MASSON染色主要關注纖維組織的顯示,通過不同染料的親和力差異使纖維成分呈現特定顏色;而HE染色則注重細胞結構的展示,通過蘇木精和伊紅的染色使細胞核和細胞質呈現對比鮮明的顏色。
②應用場景:MASSON染色多用于研究纖維組織的形態和分布,如肝臟纖維化、心肌纖維排列等;而HE染色則更適用于全面觀察和分析組織結構的形態學特征,無論是正常還是病變組織。

[實驗室]
③信息側重點:MASSON染色提供的主要是纖維組織的信息,有助于了解組織的支撐結構和功能狀態;而HE染色則提供了更全面的細胞和組織結構信息,有助于對整體組織狀態進行評估。
④最后,從顯示效果來看,MASSON染色具有鮮明的顏色對比和清晰的纖維結構顯示,特別適用于對纖維組織的形態和數量進行定量分析。而HE染色則能夠展現出細胞的整體形態和結構特點,但無法對特定的組織成分進行定量分析。

[MASSON染色與HE染色]
綜上所述,MASSON染色和HE染色在染色原理、應用場景和顯示效果等方面存在明顯的區別。前者主要用于顯示組織的纖維結構和定量分析,后者則適用于各種組織和細胞的形態結構觀察和研究。在實際應用中,應根據具體的研究目的和組織類型選擇合適的染色方法。
如果想知道更多的關于MASSON染色的相關知識點,以及專屬研究方法,也可以聯系我們:18570028002或微信pulateze666會把這些資料發送給大家哦。
