
MASSON(馬松)染色結果怎么分析的?【科研干貨】
2024-05-13 17:41:53
來源/作者:普拉特澤-生物醫學整體課題外包平臺
MASSON染色結果怎么分析的由普拉特澤生物給大家解答與分享:
本文是我們在承接數百例MASSON染色檢測實驗中,大家留言咨詢最多的問題進行回答與建議,快來收藏吧!
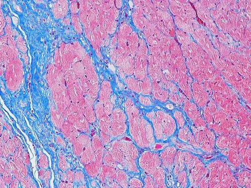
MASSON染色結果的分析主要基于對染色后組織切片中不同組織成分的著色情況進行觀察和解讀。~~MASSON染色法通過利用不同離子染料的分子大小與組織滲透性的差異,使膠原纖維、黏液、軟骨等組織成分呈現藍色(或綠色),而肌纖維、纖維素、紅細胞等則呈現紅色,細胞核則呈現藍黑色。

圖一
圖二
在觀察和分析MASSON染色結果時,需要注意以下幾個方面:
首先,觀察膠原纖維的著色情況。膠原纖維在MASSON染色中通常呈現藍色或綠色,其著色程度和分布情況可以用于評估組織中的膠原纖維含量和分布狀態。例如,在纖維化疾病的研究中,膠原纖維的增多和異常分布是重要的病理特征,通過觀察和分析MASSON染色結果,可以有助于疾病的診斷和預后評估。
其次,觀察肌纖維和纖維素的著色情況。肌纖維和纖維素在MASSON染色中呈現紅色,其著色情況可以用于評估組織的肌肉成分和纖維結構。在肌肉疾病或纖維化疾病中,肌纖維和纖維素的變化可能表現為著色程度的改變或排列的異常,這些變化可以作為疾病診斷的參考依據。
此外,還需要觀察細胞核的著色情況。細胞核在MASSON染色中呈現藍黑色,其大小和形態可以用于評估細胞的活性和病變情況。異常的細胞核著色或形態變化可能提示著細胞的異常增生或惡變,需要進一步檢查和分析。

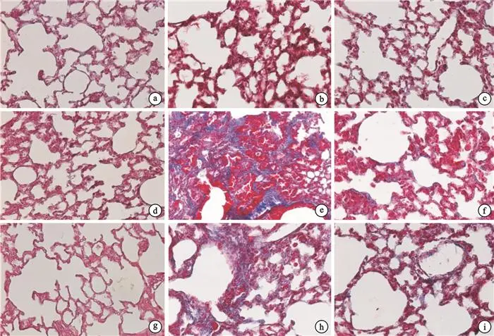
圖三
在分析MASSON染色結果時,還需要結合具體的實驗目的和背景知識進行綜合評估。例如,對于不同的組織類型和疾病狀態,MASSON染色的結果可能會有所不同,因此需要對比正常組織和病變組織的染色結果,以發現其中的差異和異常。
【需要注意的是,MASSON染色結果的分析需要一定的專業知識和經驗。對于初學者或不熟悉該技術的研究人員,建議在經驗豐富的指導下進行分析,以確保結果的準確性和可靠性】。
此外,隨著技術的發展,現在也有一些軟件工具可以幫助分析MASSON染色結果,如【ImageJ】等。這些工具可以通過自動化或半自動化的方式,對染色后的組織切片進行圖像處理和數據分析,提高分析的效率和準確性。但需要注意的是,使用這些工具時仍需要謹慎處理和分析數據,以確保結果的可靠性。
好,活動就介紹到這里啦~
有關于MASSON染色的任何問題或其他實驗咨詢
找她↓↓↓
