
Masson(馬松)染色操作步驟與結果分析【附視頻教程】
2022-03-02 14:45:38
來源/作者:普拉特澤-病理染色技術平臺
Masson三色染色又稱馬松染色,是顯示組織中纖維的主要方法之一。普拉特澤生物承接Masson(馬松)染色等病理染色相關服務上萬例,積累了操作大量經驗,為大家詳細分享馬松染色的實驗操作步驟與染色結果分析,同時為廣大科研工作者開展線上的理論培訓與線下實操,可承接染色實驗外包服務。

Masson染色法是結締組織染色中最經典的一種方法,其原理與陰離子染料分子的大小和組織的滲透有關,分子的大小由分子量來體現,小分子量易穿透結構致密、滲透性低的組織;而大分子量則只能進入結構疏松的、滲透性高的組織。然而,淡綠或苯胺藍的分子量都很大,因此Masson染色后肌纖維呈紅色,膠原纖維呈綠色或藍色,主要用于區分膠原纖維和肌纖維。
傳統的馬松染色使用四種染料,使組織切片呈現三種顏色,準確的稱呼是馬松三色染色法(Masson's trichrome stain)。第一種染料是蘇木精,配制成Weigert氏鐵蘇木精液,與HE染色相似,這里的蘇木精也是染細胞核,由于用的是鐵蘇木精,細胞核染色后不是經典HE染色的藍色,而是呈現暗灰黑色,這是第一色。第二種染料酸性品紅和第三種染料麗春紅配制成混合溶液,這兩種紅色染料染與HE染色中的伊紅相似,可以染細胞質為紅色,這是第二色。第四種染料是甲基藍(苯胺藍也可),染膠原纖維為藍色,這是第三色。經典的馬松染色效果與HE染色對比如下圖:
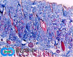
這是小鼠皮膚組織兩種病理染色圖片,左邊是馬松三色染色,右邊是HE染色。
右邊HE染色呈現藍色和紅色兩種顏色,而左邊馬松三色染色有灰黑色、紅色和藍色三種顏色,尤為明顯的是藍色。左圖中的大片藍色區域是皮膚上皮組織,結構較為疏松,含有較多的膠原纖維,被馬松三色染色法中的甲基藍染成藍色。這樣染色后,可以清晰地看到毛孔在上皮結蹄組織中的分布。因此,被染成藍色的細胞外基質(通常都含有膠原纖維)就能和細胞以及其他組織形成鮮明的對比,從而易于觀察。在某些病理狀態,如心肌梗死,肝硬化和腎纖維化等情況下,病變的細胞會被結締組織取代,用馬松染色能很好地發現病變部位,并能對病變進行定量的評估。因此,直到今天,馬松染色依然是組織學和病理學中活躍的染色方法,并出現了幾種改良的馬松染色,使得染色效果更加理想。
Masson(馬松)染色實驗操作試劑準備:
1、Regaud 氏蘇木精:蘇木精1g,95%酒精10 ml,甘油10 ml,蒸餾水8 0ml,將蘇木精加入蒸餾水內加溫溶解,冷卻后加入酒精和甘油,放數日后即可應用。
2、Masson麗春紅酸性復紅液: 麗春紅0.7g,酸性復紅0.3g,蒸餾水99 ml,冰醋酸1ml。
3、0.2%冰醋酸水溶液: 冰醋酸0.2 ml,蒸餾水100 ml。
4、1%磷鉬酸水溶液:磷鉬酸1g,蒸餾水100 ml。
5、苯胺藍水溶液:苯胺藍2g,蒸餾水98 ml,冰醋酸2 ml。
6、1%光綠水溶液:光綠 1g,蒸餾水100 ml。
Masson(馬松)三色法染色實驗操作步驟:
1. 石蠟切片脫蠟至水。
2. 鉻化處理或去汞鹽沉淀(甲醛固定的組織此步可略)。
3. 依次自來水和蒸餾水洗。
4. 用Regaud蘇木精染液或Weigert蘇木精液染核5-10 min。
5. 充分水洗,如過染可鹽酸酒精分化。
6. 蒸餾水洗。
7. 用Masson 麗春紅酸性復紅液5-10 min。
8. 以2%冰醋酸水溶液浸洗片刻。
9. 1%磷鉬酸水溶液分化3-5 min。
10. 不經水洗,直接用苯胺藍或光綠液染5 min。
11.以0.2%冰醋酸水溶液浸洗片刻。
12.95%酒精、無水酒精、二甲苯透明、中性樹膠封固。
Masson染色預期結果:膠原纖維、粘液、軟骨呈藍色(如光綠液染色為綠色),胞漿、肌肉、纖維素、神經膠質呈紅色,核黑藍色。
OK!那么Masson染色的實驗操作過程與結果分析我們就分享到這里啦,想學習更詳細的實驗操作步驟的同學歡迎點擊我們的春風學院——《Masson染色實操》專欄繼續學習哦,當然如果您有Masson染色實驗外包的需求,普拉特澤隨時在在線任君采擷哦!
