
什么是組織芯片?【組織芯片外包】
2022-11-24 13:32:29
來源/作者:普拉特澤-病理染色技術平臺
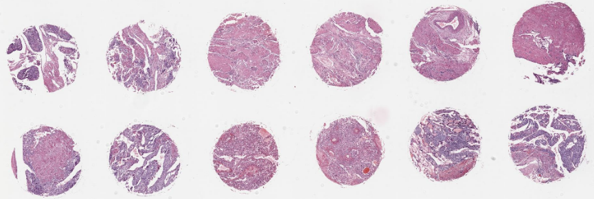
大家好!今天跟著普拉特澤生物學習一個新的實驗——組織芯片!組織芯片是又叫組織微陣列,是將數十上千個小組織整齊的排列在一張載玻片上而制成的,是病理學中重要的觀察方法。普拉特澤生物病理實驗平臺專業提供組織芯片代做外包服務,本文就給大家詳細介紹到底什么是組織芯片?
一、什么是組織芯片?
組織芯片是繼基因芯片、蛋白質芯片之后出現的又一種重要的生物芯片,主要用于研究同一種基因或蛋白質分子在不同細胞或組織中表達的情況。 組織微陣列的概念最早是在1998年由美國NIH的Kononen J.發表于自然醫學(Nat Med)上,組織芯片與基因芯片、蛋白質芯片、細胞芯片一起構成了“生物芯片”系列 ,使人類第一次能夠有效利用成百上千份組織標本,在基因組、轉錄組和蛋白質組三個水平上進行研究,被譽為醫學、生物學領域的一次革命。
二、組織芯片有哪些特點?
1、體積小,信息含量大。
2、獲得大量結果。
3、減少試驗誤差。
4、省時、省力、經濟。
5、有利于原始蠟塊的保存
三、組織芯片有哪些分類?
1、根據一張芯片上樣本含量的多少分為
低密度芯片( < 200 點)
中密度芯片(200~600點)
高密度芯片( > 600 點)
2、按組織來源分為
動物組織芯片
人類組織芯片:正常組織芯片、疾病組織芯片、胚胎組織芯片
腫瘤組織芯片:多腫瘤組織芯片、腫瘤進展組織芯片、預后組織芯片

四、組織芯片有哪些優點?
1、高通量
2、高效性
組織芯片因其體積小,信息含量高省時、省力、節約經費、節省試劑,(1-2 周之內可完成數千個組織標本的數十個基因表達或蛋白分子 的定位、定量、定性分析)。
3、平行性
腫瘤微陣列/ 芯片技術采用同一標準選材、操作和判定結果,所得結果均一可靠。
4、實驗誤差小
組織芯片中的眾多組織都處在相同條件下進行實驗,因此較傳統的病理切片的實驗誤差小。
五、組織芯片有哪些應用?
1、有利于形態學的比較研究:我們可將各種不同的組織器官集中在一個組織芯片上,對于醫學生來說可以進行比較學習。
2、用于各種免疫組織化學染色、原位雜交、原位PCR、熒 光原位雜交、原位RT-PCR和寡核苷酸啟動的DNA合成(PRINS)等等。
3、用于臨床和基礎的研究,分子診斷、預后指標篩選、治療靶點定位、抗體和藥物篩選、基因和表達分析等。醫療領域中應用組織芯片技術研究的腫瘤范圍很廣,幾乎涉及全身, 包括胃癌、大腸癌、肝癌、肺癌、鼻咽癌、乳腺癌、前列腺癌、卵巢癌、腎癌、膀胱癌等。
那組織芯片就介紹完啦~如果您還是對組織芯片有什么問題或有組織芯片外包的需求,歡迎隨時聯系普拉特澤生物!
