
MASSON(馬松)染色原理陽性意義
2024-05-15 16:40:13
來源/作者:普拉特澤-生物醫學整體課題外包平臺
前三篇我們總結了MASSON染色實驗結果中結果分析、結果怎么看纖維化、以及MASSON染色和HE染色區別等常見問題,今天來學習MASSON染色時最容易碰見的疑問吧,希望大家引以為鑒,能夠避免這些普拉特澤為大家踩過的坑。
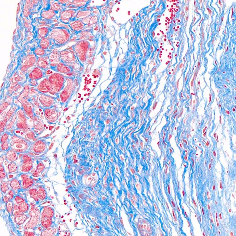
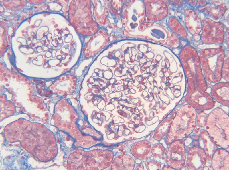
MASSON染色原理及其陽性意義是醫學和生物學領域中的關鍵概念,特別是在對組織結構和成分進行分析時。MASSON染色是一種特殊的組織染色方法,主要依賴于不同離子染料的分子大小和組織滲透性的差異,從而實現對不同組織成分的區分和著色。
首先,讓我們深入探討MASSON染色的原理。MASSON染色的原理與陰離子染料分子的大小和組織的滲透性密切相關。染料的分子量決定了其穿透組織的能力:小分子量的染料更容易穿透結構致密、滲透性較低的組織,而大分子量的染料則更傾向于進入結構疏松、滲透性較高的組織。在MASSON染色中,由于肌纖維間隙較小,而膠原纖維間隙較大,因此小分子量的麗春紅染料更容易滲透進入肌纖維并使其呈現紅色,而大分子量的苯胺藍染料則主要進入膠原纖維并使其呈現藍色或綠色。

MASSON染色的陽性意義在于,它能夠幫助研究人員區分膠原纖維和肌纖維,從而觀察病變組織中纖維結締組織的增生和分布。當MASSON染色結果呈現陽性時,通常意味著局部組織中存在膠原纖維的增生。這種增生可能是由于局部皮膚出現炎癥或組織增生等病理 過程所導致的。因此,MASSON染色的陽性結果可以作為判斷組織纖維化程度的一個重要指標。

然而,需要注意的是,MASSON染色的陽性結果并不能直接確診某種疾病。雖然它能夠幫助我們觀察組織中的病理變化,但具體的疾病診斷還需要結合其他臨床檢查和病理學分析。同時,由于個體差異和疾病發展的不同階段,MASSON染色的結果也可能存在差異。
其陽性結果提示了組織中膠原纖維的存在和分布,可能與損傷修復、炎癥反應以及某些疾病的病理過程相關。通過深入分析MASSON染色的結果,我們可以更好地理解組織的結構和功能狀態。

好啦,MASSON染色我們就簡單介紹到這里啦,同學們有沒有一個簡單的了解呢?不懂得可以給客服留言技術給您詳細解答。下一篇再詳細為大家介紹MASSON染色實驗目的,普拉特澤生物誓讓大家透徹MASSON染色實驗的檢測過程。當然如果您有MASSON染色實驗方法或其他醫學科研實驗外包的需求,歡迎隨時咨詢哦
