
什么是油紅O染色?【油紅O染色外包】
2023-02-02 15:25:25
來源/作者:普拉特澤-病理染色技術平臺
油紅O染色法介紹由普拉特澤生物分享,油紅O脂肪染色法是指在日常病理診斷和科研工作中為了顯示組織內的脂肪常采用油紅O進行染色的方法,油紅O為脂溶性染料,在脂肪內能高度溶解,可特異性的使組織內甘油三酯等中性脂肪著色。普拉特澤生物病理染色平臺為廣大科研人員提供油紅O染色外包服務。

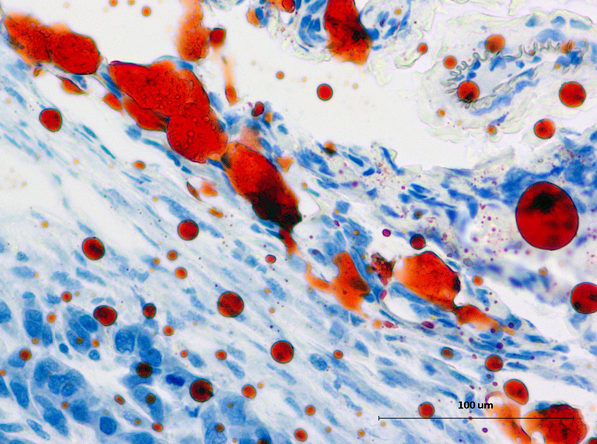
油紅O染色液主要用于顯示組織器官的脂肪變性和類脂質的異常沉著,常發生于肝、腎、心等實質臟器的脂肪變性,細胞內出現多數中性脂肪滴;鑒別和診斷脂肪組織中所發生的腫瘤及其性質。標本不采用含有乙醇的固定液(如需要固定可采用10%的福爾馬林)、也不采用石蠟切片,需用冰凍切片或碳蠟切片。脂肪的陽性染色結果呈橘黃至紅色,但具體顏色因脂質濃度而定。
傳統配制油紅O染液,所用的丙酮和異丙醇極易揮發,致使染液產生沉淀,染色時易在組織片上留下紅色的結晶,而影響結果的判斷。同時染液不易保存,每次染色時需要重新配制。我們經實驗,采用50%乙醇作為溶解劑,減少了丙酮和異丙醇易揮發對人體的危害,染液不易產生沉淀;分化劑與油紅O染液中的溶劑性質相似,這樣利于切片上多余染液的分化,故組織切片上沒有結晶產生。從而為病理診斷及鑒別診斷提供了可靠技術方法。組織常規用中性福爾馬林固定,但用甲醛—鈣液(40%甲醛10 ml,蒸餾水90 mL,氯化鈣1 g)固定效果更好,這樣有利于保存磷脂。
封固顯示脂肪的切片時,切片不宜太干,否則易產生氣泡。發現有氣泡,不能壓蓋玻片驅趕,因為這樣會使脂滴移位。若有氣泡可用溫水浸掉蓋玻片,而后再封固。
油紅O染色法操作簡便,染色結果鮮艷,染液可反復使用。如果您也準備考做脂肪的油紅O染色的話可以參考下篇的油紅O染色實驗步驟,有什么不懂得歡迎隨時給普拉特澤留言哦~
