
GST pulldown實驗原理與介紹【pull down外包】
2022-09-28 15:32:38
來源/作者:普拉特澤-生物醫學整體課題外包平臺
蛋白功能已成為當下研究的熱點之一,蛋白間相互作用在細胞的生命活動中起著關鍵作用。相互作用的蛋白之間通過形成復雜的功能性復合體,參與細胞內一系列的信號級聯反應,從而調控細胞及個體的生命活動。研究蛋白間相互作用的常用方法有:酵母雙雜、雙分子熒光互補、免疫共沉淀和GST pull-down等。那么今天普拉特澤生物來詳細講的——GST pull-down實驗。

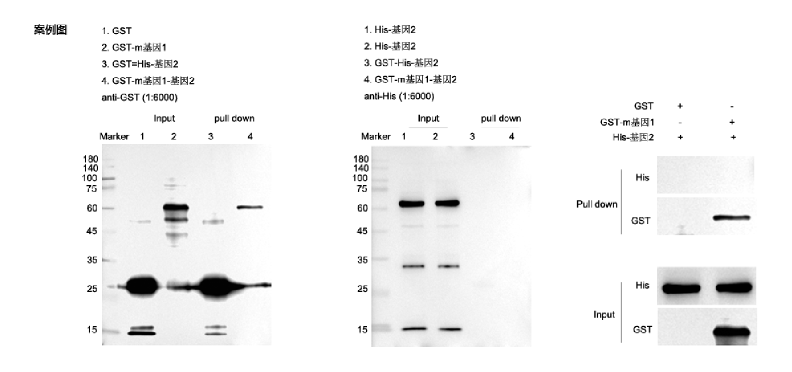
GST pull-down實驗---GST:谷胱甘肽巰基轉移酶(Glutathione S-transferase)是一個行之有效的驗證酵母雙雜交系統的體外試驗技術,近年來越來越受到廣大學者的青睞。其基本原理是將靶蛋白-GST(Glutathione-S-transferase谷胱苷肽巰基轉移酶)融合蛋白親和固化在谷胱甘肽標記的磁珠上,作為與目的蛋白親和的支撐物,充當一種“誘餌蛋白”,目的蛋白溶液與之孵育,可從中捕獲與之相互作用的“捕獲蛋白”(目的蛋白),洗脫結合物后通過SDS-PAGE電泳分析,從而證實兩種蛋白間的相互作用或篩選相應的目的蛋白,“誘餌蛋白”和“捕獲蛋白”均可通過細胞裂解物、純化的蛋白、表達系統以及體外轉錄翻譯系統等方法獲得。此方法簡單易行,操作方便。 GST:谷胱甘肽巰基轉移酶(Glutathione S-transferase)

GST pull-down技術主要在體外驗證兩種蛋白之間是否存在直接的相互作用,其用途主要有兩個方面:一是證實兩種已知蛋白之間可能存在的相互作用;二是用于尋找能與已知的蛋白發生相互作用的未知蛋白。詳細作用有:
1. 確定某一個蛋白質與另一個蛋白質的直接作用關系。
2. 篩選某一個蛋白質直接結合的蛋白質族群。
3. 驗證酵母雙雜交系統結果的有效性。
GST pulldown檢測的優勢與不足
優勢:
1. 區別于CoIP,GST pull down技術可以明確兩個蛋白質之間是否直接作用。
2. 可用于篩選與目的蛋白質直接結合的蛋白質族群。
3. 可聯合酵母雙雜交系統綜合評估蛋白質之間的相互作用關系,是一個有效的驗證酵母雙雜交系統的體外試驗技術。
不足:體外表達的重組蛋白,無法完全模擬特定生理狀態下的蛋白質活性及結合情況。
通常我們研究蛋白互作的數據庫有很多,這里給大家推薦五個,可以自行選擇使用:
1. MINT
Licata L, Briganti L, Peluso D, et al. MINT, the molecular interaction database: 2012 update[J]. Nucleic acids research, 2011, 40(D1): D857-D861.
網址:https://mint.bio.uniroma2.it
2. STRING
Szklarczyk D, Morris J H, Cook H, et al. The STRING database in 2017: quality-controlled proteinprotein association networks, made broadly accessible[J]. Nucleic acids research, 2017, 45(D1): D362-D368.
網址:http://string-db.org/
3. HPRO
Prasad, T. S. K. et al. (2009) Human Protein Reference Database - 2009 Update. Nucleic Acids Research. 37, D767-72.
網址:http://www.hprd.org/
4. BioGRID
Chatraryamontri A, Oughtred R, BoucherL, et al. The BioGRID interaction database: 2017 update[J]. Nucleic acids research, 2017, 45(D1): D369-D379.
網址:http://thebiogrid.org/
5. DIPOS
Database of Interacting Proteins in Oryza SativaSapkota A, Liu X, Zhao X M, et al. DIPOS: database of interacting proteins in Oryza sativa[J]. Molecular BioSystems, 2011, 7(9): 2615-2621.
網址:http://comp-sysbio.org/dipos/?id=5
好啦,那關于GST pull down實驗我們就簡單介紹到這里啦!下期跟大家分享GST pull down實驗的操作步驟,如果您正在準備操作這個實驗或有GST pull down實驗外包的需求,歡迎隨時留言與普拉特澤分子檢測平臺的技術進行技術交流溝通!
