
相關實驗
實驗承諾函
咨詢記錄
技術文章
城市
時間
浙江省嘉興市
2025-09-06 11:09:52
江蘇省南通市
2025-09-06 10:03:05
江蘇省南通市
2025-09-06 04:46:47
國外
2025-09-06 01:46:57
江蘇省南通市
2025-09-05 09:57:46
江蘇省蘇州市
2025-09-05 05:40:02
福建省福州市
2025-09-04 15:52:59
江蘇省鎮江市
2025-09-04 15:18:59
陜西省西安市
2025-09-04 14:22:59
江蘇省鎮江市
2025-09-03 10:39:36
如何鑒別我外包的WB實驗是真實的還是造假了?
2025-07-28 11:40:37
ChIP 實驗 protocol 下載:標準流程 + 常見問題解決
2025-07-23 17:15:10
ChIP-seq與ChIP技術對比:原理、差異與適用場景解析
2025-07-21 17:51:05
ChIP 實驗中染色質免疫共沉淀的關鍵要點,新手少走彎路
2025-07-18 17:51:48
ChIP實驗與qPCR結合使用:數據定量方法與分析步驟詳解 引言
2025-07-16 15:17:20
ChIP 實驗重復性差?教你 3 個提高實驗穩定性的秘訣
2025-07-11 18:08:09
ChIP實驗全流程深度解析:從樣本制備到結果驗證的專業指導
2025-07-10 17:53:04
ChIP-seq 與 ChIP 實驗的區別,一篇文章講清楚
2025-07-08 16:52:10
ChIP 實驗原理詳解:從原理到應用的全面科普
2025-07-03 17:38:01
有可能最全的PCR類型總結:36種PCR類型及其定義、原理和用途
2025-07-03 15:38:51
跑磷酸化蛋白WB的硬核技巧有哪些?
2025-07-02 17:36:43
EdU實驗避坑指南:濃度、孵育時間、通透劑選擇全解析(附案例)
2025-06-30 18:15:04
如何提取RNA?一文詳解Trizol法提取RNA全過程
2025-05-09 15:35:46
多組學分析在膿毒癥模型中的整合應用方案
2025-05-06 13:58:48
RNAi研究策略與siRNA的設計
2025-03-04 16:11:21
雙熒光素酶報告系統【知識講解】
2025-02-28 15:40:51
WB樣本粘稠怎么辦?
2025-02-21 14:59:27
PCR全家桶:PCR,qPCR,RT-PCR,RT-qPCR有什么不同呢?
2025-02-10 11:36:56
讀文獻不求人系列一:WB結果圖解讀
2025-02-10 10:24:58
RACE實驗深度探索:從原理到應用的全面解析
2024-12-24 17:25:56
RACE實驗優化策略:提升實驗成功率的實用技巧
2024-12-23 16:43:53
RACE實驗提高擴增特異性和效率的新方法
2024-12-19 15:54:29
非編碼RNA的實驗室檢測技術
2024-12-10 11:18:15
CHIP引物設計四個注意事項詳細點
2024-11-21 10:03:27
CHIP引物設計教程
2024-11-20 16:55:14
CHIP引物設計常見問題
2024-11-20 13:37:31
CHIP引物設計結果分析
2024-11-19 13:45:52
CHIP實驗引物要求
2024-11-18 17:02:00
CHIP引物設計與基因表達的研究
2024-11-18 14:48:16
CHIP引物設計技巧
2024-11-18 11:44:14
CHIP引物設計步驟
2024-11-14 16:31:27
在CHIP實驗中,如何確保引物的特異性和有效性?
2024-11-14 14:47:23
ChIP實驗中引物序列的選擇策略
2024-11-14 11:28:12
CHIP引物設計原則
2024-11-11 15:23:51
在進行coip實驗時,有哪些常見的注意事項
2024-11-08 14:11:04
在進行COIP實驗時,有哪些常見的問題和解決方法
2024-11-07 17:34:51
在設計COIP實驗時,如何選擇合適的抗體?
2024-11-07 15:50:37
coip實驗應用
2024-11-06 17:11:07
coip實驗材料
2024-11-05 15:42:55
如何優化CoIP實驗以提高其準確性?
2024-11-04 14:55:29
分析CO-IP結果時,有哪些常見的誤區需要避免?
2024-11-04 13:58:23
coip實驗目的
2024-10-31 16:31:45
coip實驗數據解讀
2024-10-31 14:48:15
COIP實驗步驟中,去除雜蛋白的具體方法是什么?
2024-10-30 16:33:23
coip實驗設計
2024-10-29 17:22:03
coip實驗流程以及步驟
2024-10-29 15:04:09
coip實驗原理
2024-10-29 13:58:07
巨噬細胞m1m2標志物
2024-10-23 18:20:23
瓊脂糖凝膠電泳與PCR技術
2024-09-29 18:09:38
介紹一些常用的shRNA表達載體
2024-09-13 18:16:39
ELISA實驗常見問題解答:解決你的所有疑惑
2024-09-09 14:19:56
ELISA實驗注意事項
2024-09-06 15:43:46
ELISA試劑盒選擇與使用指南
2024-09-03 17:13:14
ELISA實驗中的創新技術——加速科研進程的新工具
2024-09-02 17:54:45
快速解讀ELISA實驗結果
2024-09-02 15:20:49
ELISA實驗在生物醫學研究中的應用案例
2024-08-30 14:08:20
ELISA檢測實驗報告(二)
2024-08-30 11:28:49
ELISA的實驗報告(一)
2024-08-29 18:40:59
ELISA實驗材料
2024-08-29 13:49:34
ELISA實驗數據分析與解讀
2024-08-28 18:03:43
ELISA實驗步驟詳解【輕松上手檢測】
2024-08-28 15:38:50
什么是ELISA實驗?
2024-08-28 14:55:39
染色質免疫共沉淀(CHIP)實驗注意事項
2024-08-26 18:06:15
解釋ChIP數據解讀中需要注意的關鍵點
2024-08-26 15:53:54
ChIP實驗常見問題解答:輕松跨越實驗難關
2024-08-21 14:17:17
如何優化染色質免疫共沉淀(ChIP)實驗條件?
2024-08-19 18:00:58
染色質免疫共沉淀(CHIP)實驗技術應用
2024-08-19 14:06:57
染色質免疫共沉淀(CHIP)實驗數據分析
2024-08-16 18:01:58
染色質免疫共沉淀(CHIP)實驗原理詳解
2024-08-16 11:12:20
RNA免疫沉淀(RIP)實驗高級技巧
2024-08-14 17:25:03
RNA免疫沉淀(RIP)實驗高級技巧
2024-08-14 17:25:03
RIP實驗和pulldown的區別
2024-08-12 17:59:30
RNA免疫沉淀(RIP)實驗在生物學中的應用
2024-08-12 14:13:38
RNA免疫沉淀(RIP)實驗材料的準備
2024-08-09 18:01:09
RNA免疫沉淀(RIP)實驗數據分析
2024-08-08 18:06:54
RNA免疫沉淀(RIP)實驗步驟流程詳解
2024-08-08 16:39:43
RNA免疫沉淀(RIP)實驗原理
2024-08-08 15:29:55
基因表達正調控與負調控
2024-07-24 18:07:05
如何學習基因表達調控?【小白也能掌握學習攻略】
2024-07-19 16:31:34
基因表達調控的基本原理
2024-07-19 11:10:56
EMSA凝膠遷移實驗過程中常見問題與解答
2024-04-17 15:08:51
EMSA凝膠遷移蛋白跑不下來是什么原因?
2024-04-15 11:36:56
EMSA凝膠遷移實驗注意事項【分子實驗】
2024-04-11 17:20:46
EMSA凝膠遷移實驗目的
2024-04-11 13:51:11
EMSA凝膠遷移實驗結果分析【分子實驗】
2024-04-10 17:27:43
EMSA凝膠遷移實驗電泳圖分析
2024-04-10 15:59:51
EMSA凝膠遷移實驗步驟【EMSA實驗外包】
2024-04-10 10:57:14
EMSA凝膠遷移實驗分類【新人必看】
2024-04-09 17:38:55
EMSA凝膠遷移實驗原理
2024-04-09 15:51:10
ELISA酶聯免疫吸附試驗常見問題以及解決
2024-04-01 09:59:09
ELISA實驗步驟(詳細篇)
2024-03-29 11:36:11
ELISA酶聯免疫吸附試驗實驗目的
2024-03-27 18:19:23
ELISA酶聯免疫吸附試驗報告---ELISA實驗外包
2024-03-27 17:07:44
酶切位點序列表
2023-12-07 13:54:00
常見酶切位點以及保護堿基
2023-12-04 11:34:17
酶切位點的詳細步驟 【新手入門】
2023-11-27 16:51:17
分子互作實驗大全(二)
2023-10-18 15:54:00
分子互作實驗合集(一)
2023-06-28 14:41:31
Dot Blot實驗方法以及操作步驟
2023-04-23 17:16:06
EMSA實驗的步驟【EMSA實驗外包】
2023-04-20 14:07:40
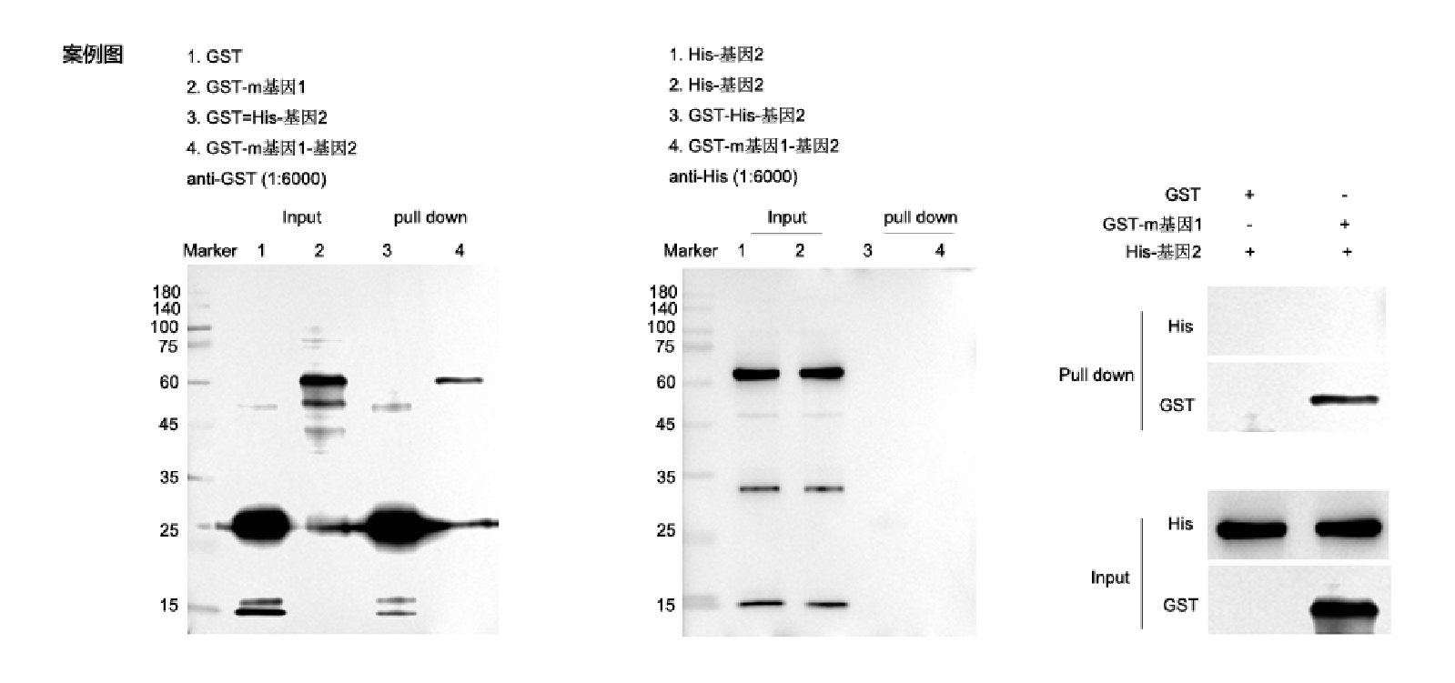
實驗介紹
【技術原理】
GST pulldown實驗是一個有效驗證酵母雙雜交系統的體外試驗技術。
基本原理:將靶蛋白-GST 融合蛋白親和固化在谷胱甘肽親和樹脂上,作為與目的蛋白親和的支撐物,充當一種“誘餌蛋白”,目的蛋白溶液過柱,可從中捕獲與之相互作用的“捕獲蛋白”(目的蛋白),洗脫結合物通過 SDS-PAGE 電泳分離,最后經western blot或質譜分析,從而證實兩種蛋白間的相互作用;
1. 確定某一個蛋白質與另一個蛋白質的直接作用關系。
2. 篩選某一個蛋白質直接結合的蛋白質族群。
3. 驗證酵母雙雜交系統結果的有效性。
【技術原理圖】

案例展示

優勢與不足
優勢:
1. 區別于CoIP,GST pull down技術可以明確兩個蛋白質之間是否直接作用。
2. 可用于篩選與目的蛋白質直接結合的蛋白質族群。
3. 可聯合酵母雙雜交系統綜合評估蛋白質之間的相互作用關系,是一個有效的驗證酵母雙雜交系統的體外試驗技術。
不足:
1. 體外表達的重組蛋白,無法完全模擬特定生理狀態下的蛋白質活性及結合情況。
送檢與交付標準
| 樣品類型 | 樣品需求 | 保存條件 | 運輸條件 | 備注 |
|---|---|---|---|---|
| 動物組織 | 單個樣品>0.1g,2mlEP管或凍存管裝,不要過量;樣本應盡量新鮮,如不能立即提取蛋白或核酸,應液氮速凍后凍存于-80℃或更低,凍存樣本避免反復凍融以致降解 | -80℃ | 干冰 | 所有樣本均須有唯一標記,且標記清晰可識 |
| 種子樣本 | 去殼新鮮或保存于液氮中的的種子樣本,單個樣品>0.2g。 | -80℃ | 干冰 | |
| 貼壁/懸浮細胞 | 1. 總RNA或蛋白:106cell/指標、漿/核RNA或蛋白:107cell/指標、線粒體RNA或蛋白:2*107 cell/指標,樣本盡量新鮮,細胞收取后直接加Trizol(QPCR檢測)或直接凍存于-80℃ 2. 若細胞處理(加藥、轉染、感染)后狀態差應酌情加大收樣量 | -80℃ | 干冰 | |
| 全血/血清樣品 | 用抗凝管保存的外周血 5~10ml,骨髓 1~3ml; -80℃保存不超半周的白細胞勻漿>400μl,每 400μl 加入 400μl Trizol。 | -80℃ | 干冰 | |
| 石蠟包埋樣品 | 由標準的石蠟包埋盒包埋的石蠟塊,有效厚度大于 0.1cm; 新鮮的 FFPE 組織切片,每片厚度不超過 10μm,2~8 張,表面積不超過 250mm2。 | -20℃ | 冰袋 | |
| 抗體 | 1. 按樣本種屬提供滿足相應實驗要求的抗體; 2. 按抗體說明書要求寄送,盡量避免分裝;如分裝,確保量足夠進行實驗,并提供抗體說明書。 3.保存抗體的抗體管上應有能夠識別此抗體的標記,抗體的量應大于實驗所需的量。 | -20℃ | 冰袋 | |
| 引物 | 干粉,≥1OD,如進行預實驗,每個基因至少提供兩對引物, 附帶公司引物合成單。 | -20℃ | 冰袋或常溫 |
