
相關實驗
實驗承諾函
咨詢記錄
技術文章
城市
時間
江蘇省南通市
2025-09-06 10:41:47
江蘇省南通市
2025-09-06 09:38:04
江蘇省南通市
2025-09-06 05:29:56
國外
2025-09-06 01:46:55
河北省滄州市肅寧縣
2025-09-05 20:18:39
江蘇省鎮江市
2025-09-05 18:15:54
江蘇省南通市
2025-09-05 17:52:49
江蘇省蘇州市
2025-09-05 14:38:29
江蘇省南通市
2025-09-05 13:38:43
江蘇省南京市
2025-09-05 09:44:58
甲苯胺藍染色在醫學研究中的獨特價值與應用
2025-02-17 15:55:02
甲苯胺藍染色試劑盒推薦
2025-02-14 17:34:00
甲苯胺藍染色新視角
2025-02-14 14:53:48
優化甲苯胺藍染色流程【技術推薦】
2025-02-13 16:37:14
甲苯胺藍染色染液配制方法
2025-02-13 13:30:10
甲苯胺藍染色步驟
2025-02-12 17:32:25
甲苯胺藍染色原理
2025-02-11 14:52:14
TTC染色注意事項
2025-02-08 16:15:23
TTC染色實驗:揭秘細胞活性的可視化過程
2025-02-08 14:50:36
TTC染色常見問題解答
2025-02-07 15:37:49
TTC染色在醫學研究中的意義
2025-02-06 14:25:34
TTC染色詳細計算分析過程
2025-02-05 14:00:44
TTC染色檢測種子生存能力方法
2025-01-24 16:32:08
TTC染色劑配制
2025-01-24 11:39:42
TTC染色步驟+數據分析
2025-01-23 13:51:28
TTC染色原理
2025-01-23 11:35:29
TSA多色免疫熒光最新研究進展
2025-01-15 16:57:37
TSA多色免疫熒光實驗注意事項
2025-01-15 13:24:28
TSA多色免疫熒光實驗過程中的問題以及解決方法
2025-01-14 16:47:49
TSA多色免疫熒光在科研中的應用《科研探索中的新利器》
2025-01-10 17:49:14
TSA多色免疫熒光染色方法,輕松掌握多色染色技巧
2025-01-10 16:08:14
TSA多色免疫熒光與單色免疫熒光的區別
2025-01-10 13:47:42
TSA多色免疫熒光試劑推薦
2025-01-09 14:04:28
TSA多色免疫熒光結果解讀
2025-01-07 14:29:01
TSA多色免疫熒光技術教程
2025-01-06 17:02:10
TSA多色免疫熒光原理介紹
2025-01-06 14:01:09
考馬斯亮藍染色注意事項
2024-12-31 17:01:39
考馬斯亮藍染色液配方 輕松掌握實驗技巧
2024-12-31 13:59:49
考馬斯亮藍染色液配方 輕松掌握實驗技巧
2024-12-31 13:59:49
考馬斯亮藍染色常見問題解析
2024-12-30 16:58:42
如何正確進行考馬斯亮藍染色?看這里就夠了
2024-12-30 14:47:25
考馬斯亮藍染色后,如何保存凝膠?
2024-12-30 11:46:25
考馬斯亮藍染色原理與傳統染色
2024-12-26 15:44:07
考馬斯亮藍測蛋白濃度步驟
2024-12-26 14:12:43
考馬斯亮藍染色步驟全解析
2024-12-25 17:04:32
考馬斯亮藍染色原理
2024-12-25 15:55:00
免疫熒光染色常見問題以及解決方法
2024-07-17 15:28:48
免疫熒光染色實驗儀器
2024-07-16 11:45:51
免疫熒光染色與流式細胞儀的比較
2024-07-15 11:51:40
免疫熒光染色與免疫組化的比較
2024-07-12 15:31:29
免疫熒光染色封片技巧
2024-07-10 16:46:43
免疫熒光染色實驗所需材料【輕松掌握實驗精髓】
2024-07-10 11:30:18
免疫熒光染色實驗方法【深入解析與操作指南】
2024-07-09 18:00:27
免疫熒光染色步驟
2024-07-08 16:05:38
免疫熒光染色技術原理【小白到大神】
2024-07-08 14:40:21
透射電鏡在生物技術中的應用
2024-07-03 17:27:44
如何選擇透射電鏡實驗設備?專業指南
2024-07-03 11:42:54
透射電鏡與掃描電鏡的區別
2024-07-01 11:50:07
透射電鏡觀察什么?
2024-06-27 10:59:36
透射電鏡的結構與成像原理探究
2024-06-26 17:04:16
lncRNA實驗教程
2024-06-21 16:45:47
冰凍切片實驗注意事項
2024-06-18 16:01:24
冰凍切片實驗技巧分享
2024-06-13 16:00:48
冰凍切片實驗目的
2024-06-12 17:47:20
冰凍切片實驗步驟
2024-06-12 11:05:47
冰凍切片實驗原理以及應用
2024-06-11 15:52:55
CCK8檢測實驗報告(一)
2024-05-31 11:06:50
PAS糖原染色常見問題及解決方案
2024-05-29 10:29:11
PAS染色臨床應用
2024-05-27 15:28:28
PAS染色實驗注意事項
2024-05-27 14:03:53
PAS染色實驗材料有哪些?【組織染色實驗外包】
2024-05-24 11:43:54
PAS染色結果解讀
2024-05-23 17:12:34
PAS染色的實驗步驟全攻略:從入門到精通
2024-05-22 18:02:19
如何獲得更清晰的染色效果?【PAS染色技巧分享】
2024-05-22 11:03:29
PAS染色實驗報告【小鼠心肌】
2024-05-21 18:00:23
PAS檢測實驗報告【小鼠腎】
2024-05-21 17:27:03
PAS染色實驗原理介紹
2024-05-21 16:37:55
MASSON(馬松)染色實驗過程中常見問題和解決方法
2024-05-17 16:51:18
MASSON(馬松)染色實驗技術注意事項【新手必看】
2024-05-17 15:50:51
MASSON(馬松)染色實驗中染液的順序
2024-05-16 17:27:02
MASSON(馬松)染色實驗目的【組織染色外包】
2024-05-15 17:26:27
MASSON(馬松)染色原理陽性意義
2024-05-15 16:40:13
MASSON(馬松)染色結果怎么看纖維化?
2024-05-14 15:30:42
MASSON(馬松)染色方法及其在實驗室的應用
2024-05-13 16:01:00
Masson染色實驗報告分析
2024-05-13 11:52:02
如何進行MASSON染色?專業教程與技巧分享
2024-05-11 15:52:01
深入了解MASSON染色:原理、步驟與實例
2024-05-11 14:38:33
TUNEL染色實驗過程中的常見問題與解決方法分析
2024-05-09 15:09:25
TUNEL染色實驗中的質量控制措施
2024-05-08 17:47:16
TUNEL染色實驗與熒光顯微鏡
2024-05-07 17:03:53
TUNEL染色實驗與細胞凋亡機制
2024-05-07 14:37:14
TUNEL染色實驗在凋亡檢測中的優勢與局限性
2024-04-29 17:52:55
Tunnel染色實驗注意事項【新手必看指南】
2024-04-26 14:08:38
TUNEL染色實驗試劑選擇和配置方法
2024-04-24 14:32:10
如何進行TUNEL染色陽性對照實驗?
2024-04-23 15:04:07
TUNEL檢測實驗報告(三)
2024-04-23 11:23:41
TUNEL檢測實驗報告(二)
2024-04-22 15:05:35
TUNEL檢測實驗報告(一)
2024-04-22 13:44:20
TUNEL染色實驗原理和實驗操作技巧【詳細篇】
2024-04-22 11:25:02
TUNEL染色原理介紹【組織染色】
2024-04-19 17:10:01
病理組織染色實驗大全(二)
2024-04-08 16:24:35
激光共聚焦和熒光共聚焦的區別
2024-03-25 17:33:25
激光共聚焦實驗目的
2024-03-25 16:10:39
激光共聚焦結果分析
2024-03-21 16:02:38
激光共聚焦實驗步驟詳解
2024-03-21 13:03:58
原位雜交方法【總結】
2024-03-19 14:11:07
原位雜交實驗操作細節有哪些?
2024-03-15 16:47:17
原位雜交實驗的應用
2024-03-15 15:04:52
原位雜交實驗分析——原位雜交實驗外包
2024-03-15 11:48:36
原位雜交目的
2024-03-14 13:51:45
實驗介紹
【實驗介紹】
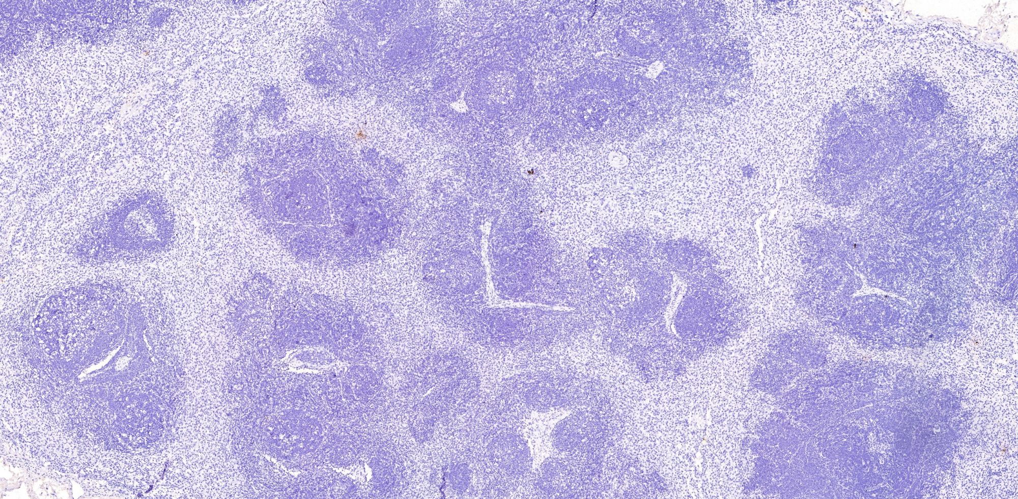
甲苯胺藍(Toluidine Blue O)是一種常用的人工合成染料,屬于醌亞胺染料類。這類染料主要含有胺基和醌型苯環兩個發色團,從而成色原顯色。甲苯胺藍中的陽離子有染色作用,組織細胞的酸性物質與其中的陽離子相結合而被染色。甲苯胺藍不僅含有兩個發色團,還含有兩個助色團,能促使染料產生電離成鹽類,幫助發色團對組織產生染色力,使切片上的組織細胞著色,可染細胞核使之呈藍色。
【實驗步驟】
Step1: 石蠟切片常規操作脫蠟水化。
Step2: 甲苯胺藍染色2-10 min。
Step3: 自來水沖洗2min。
Step4: 脫水:依次經85%、95%Ⅰ、95%Ⅱ各10秒,無水乙醇Ⅰ30s、無水乙醇Ⅱ1min。
Step5: 透明:經二甲苯Ⅰ1min、二甲苯Ⅱ2min。
Step6: 中性樹膠固封,鏡檢。
優秀案例展示



結果分析:
1. 染色清晰,組織結構層次分明。
2. 木質化細胞壁呈藍綠色,纖維素細胞壁呈紫藍色。
技術總結
【常見問題】
1.染色時間過長或過短導致的染色過深或過淺。
2.植物組織較脆,易出現掉片。
【注意事項】
1.控制染色時間,保證染色不至于過深或過淺,必要時可在顯微鏡下觀察控制染色時間。
2.水洗時間不易過長,保證陽性顯色清晰可見。
3.植物組織切片時應控制切片厚度以及攤片時間,減少掉片風險。
送檢與交付標準
【交付標準】
1. 實驗報告
2. 真實實驗結果
3. 原始圖片
4. 實驗原始數據
5. 剩余物料在周期內可返還(超過周期,不予返還)
【送檢流程】
